CLTC Polyclonal Antibody

Cat.#: 165590

Special Price 226.5 USD

Availability: In Stock
- +

Add to cart to get an online quotation

Product Information

  • Product Name
    CLTC Polyclonal Antibody
  • Documents
  • Description
    Polyclonal antibody to CLTC
  • Tested applications
    WB, IHC
  • Species reactivity
    Human, Mouse, Rat
  • Alternative names
    CLTC antibody; CHC antibody; CHC17 antibody; CLH-17 antibody; CLTCL2 antibody; Hc antibody; clathrin heavy chain antibody
  • Isotype
    Rabbit IgG
  • Preparation
    Antigen: A synthetic peptide of human CLTC
  • Clonality
    Polyclonal
  • Formulation
    PBS with 0.02% sodium azide, 50% glycerol, pH7.3.
  • Storage instructions
    Store at -20℃. Avoid freeze / thaw cycles.
  • Applications
    WB 1:500 - 1:2000
    IHC 1:50 - 1:100
  • Validations

    Western blot - CLTC Polyclonal Antibody

    Western blot - CLTC Polyclonal Antibody

    Western blot analysis of extracts of various cell lines, using CLTC antibody at 1:500 dilution.Secondary antibody: HRP Goat Anti-Rabbit IgG (H+L) at 1:10000 dilution.Lysates/proteins: 25ug per lane.Blocking buffer: 3% nonfat dry milk in TBST.Detection: ECL Basic Kit .Exposure time: 90s.

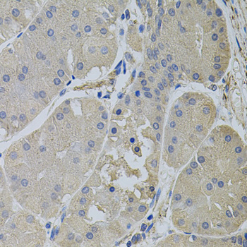
    Immunohistochemistry - CLTC Polyclonal Antibody

    Immunohistochemistry - CLTC Polyclonal Antibody

    Immunohistochemistry of paraffin-embedded human stomach using CLTC antibody (40x lens).

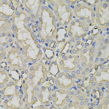
    Immunohistochemistry - CLTC Polyclonal Antibody

    Immunohistochemistry - CLTC Polyclonal Antibody

    Immunohistochemistry of paraffin-embedded rat kidney using CLTC antibody (40x lens).

  • Background
    Clathrin is the major protein of the polyhedral coat of coated pits and vesicles. Two different adapter protein complexes link the clathrin lattice either to the plasma membrane or to the trans-Golgi network. Acts as component of the TACC3/ch-TOG/clathrin complex proposed to contribute to stabilization of kinetochore fibers of the mitotic spindle by acting as inter-microtubule bridge. The TACC3/ch-TOG/clathrin complex is required for the maintenance of kinetochore fiber tension. Plays a role in early autophagosome formation.

Please note: All products are "FOR RESEARCH USE ONLY AND ARE NOT INTENDED FOR DIAGNOSTIC OR THERAPEUTIC USE"