CLDN4 Polyclonal Antibody

Cat.#: 161350

Special Price 226.5 USD

Availability: In Stock
- +

Add to cart to get an online quotation

Product Information

  • Product Name
    CLDN4 Polyclonal Antibody
  • Documents
  • Description
    Polyclonal antibody to CLDN4
  • Tested applications
    WB, IHC
  • Species reactivity
    Human
  • Alternative names
    CLDN4 antibody; CPE-R antibody; CPER antibody; CPETR antibody; CPETR1 antibody; WBSCR8 antibody; hCPE-R antibody; claudin-4 antibody
  • Isotype
    Rabbit IgG
  • Preparation
    Antigen: A synthetic peptide corresponding to a sequence within amino acids 100 to the C-terminus of human CLDN4 (NP_001296.1).
  • Clonality
    Polyclonal
  • Formulation
    PBS with 0.02% sodium azide, 50% glycerol, pH7.3.
  • Storage instructions
    Store at -20℃. Avoid freeze / thaw cycles.
  • Applications
    WB 1:500 - 1:1000
    IHC 1:50 - 1:100
  • Validations

    Western blot - CLDN4 Polyclonal Antibody

    Western blot - CLDN4 Polyclonal Antibody

    Western blot analysis of extracts of various cell lines, using CLDN4 antibody at 1:3000 dilution.Secondary antibody: HRP Goat Anti-Rabbit IgG (H+L) at 1:10000 dilution.Lysates/proteins: 25ug per lane.Blocking buffer: 3% nonfat dry milk in TBST.Detection: ECL Enhanced Kit .Exposure time: 90s.

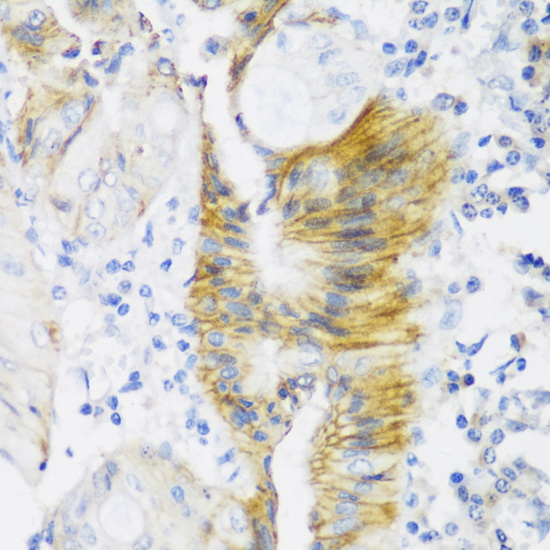
    Immunohistochemistry - CLDN4 Polyclonal Antibody

    Immunohistochemistry - CLDN4 Polyclonal Antibody

    Immunohistochemistry of paraffin-embedded human colon carcinoma using CLDN4 antibody at dilution of 1:150 (40x lens).

  • Background
    Channel-forming tight junction protein that mediates paracellular chloride transport in the kidney. Plays a critical role in the paracellular reabsorption of filtered chloride in the kidney collecting ducts. Claudins play a major role in tight junction-specific obliteration of the intercellular space, through calcium-independent cell-adhesion activity.

Please note: All products are "FOR RESEARCH USE ONLY AND ARE NOT INTENDED FOR DIAGNOSTIC OR THERAPEUTIC USE"