-
Product Name
Claudin 4-specific antibody
- Documents
-
Description
Claudin 4-specific Rabbit Polyclonal antibody. Positive WB detected in mouse small intestine tissue, human liver tissue, human placenta tissue. Positive IP detected in human placenta tissue. Positive IHC detected in human breast cancer tissue, human ovary tumor tissue. Observed molecular weight by Western-blot: 22 kDa
-
Tested applications
ELISA, WB, IHC, IP
-
Species reactivity
Human,Mouse,Rat; other species not tested.
-
Alternative names
claudin 4 antibody; CLDN4 antibody; CPE R antibody; CPE receptor antibody; CPER antibody; CPETR antibody; CPETR1 antibody; hCPE R antibody; WBSCR8 antibody
-
Isotype
Rabbit IgG
-
Preparation
This antibody was obtained by immunization of Peptide (Accession Number: NM_001305). Purification method: Antigen affinity purified.
-
Clonality
Polyclonal
-
Formulation
PBS with 0.02% sodium azide and 50% glycerol pH 7.3.
-
Storage instructions
Store at -20℃. DO NOT ALIQUOT
-
Applications
Recommended Dilution:
WB: 1:200-1:2000
IP: 1:200-1:1000
IHC: 1:20-1:200
-
Validations
mouse small intestine tissue were subjected to SDS PAGE followed by western blot with Catalog No:109342(CLDN4-specific antibody) at dilution of 1:300
IP Result of anti-Claudin 4-specific (IP:Catalog No:109342, 4ug; Detection:Catalog No:109342 1:300) with human placenta tissue lysate 4400ug.
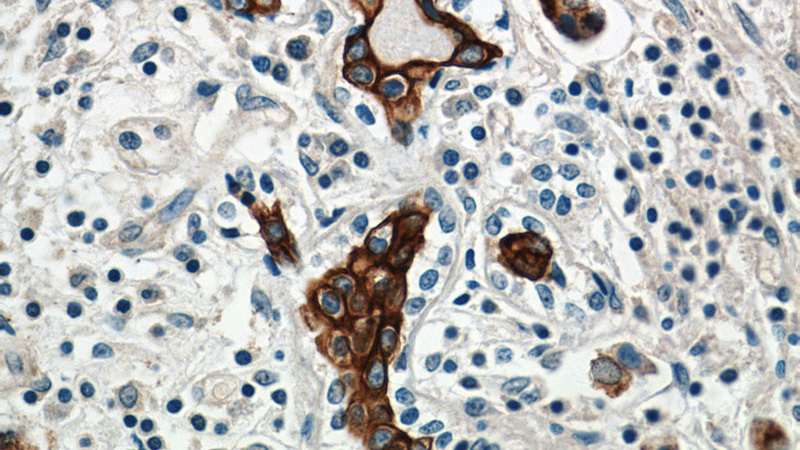
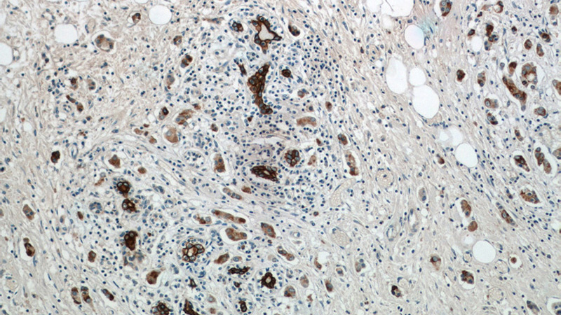
Immunohistochemistry of paraffin-embedded human breast cancer tissue slide using Catalog No:109342(Claudin 4-specific Antibody) at dilution of 1:50 (under 10x lens)
Immunohistochemistry of paraffin-embedded human breast cancer tissue slide using Catalog No:109342(Claudin 4-specific Antibody) at dilution of 1:50 (under 40x lens)
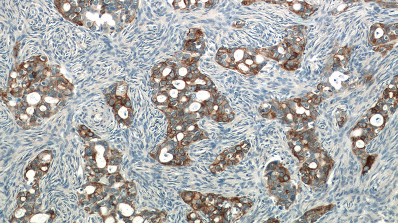
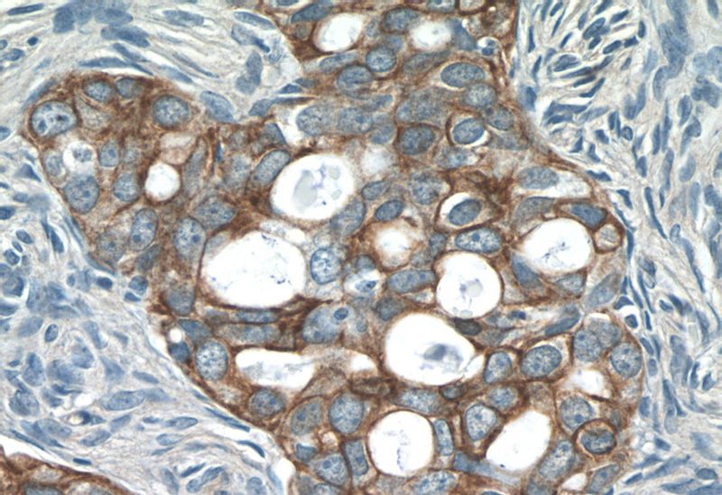
Immunohistochemistry of paraffin-embedded human ovary tumor tissue slide using Catalog No:109342(Claudin 4-specific Antibody) at dilution of 1:50 (under 10x lens)
Immunohistochemistry of paraffin-embedded human ovary tumor tissue slide using Catalog No:109342(Claudin 4-specific Antibody) at dilution of 1:50 (under 40x lens)
-
Background
Claudins are a family of proteins that are the most important components of the tight junctions, where they establish the paracellular barrier that controls the flow of molecules in the intercellular space between the cells of an epithelium. 23 claudins have been identified. They are small (20-27 kDa) proteins with very similar structure. They have four transmembrane domains, with the N-terminus and the C-terminus in the cytoplasm. This antibody is specifically against claudin 4.
-
References
- Eadon MT, Hack BK, Xu C, Ko B, Toback FG, Cunningham PN. Endotoxemia alters tight junction gene and protein expression in the kidney. American journal of physiology. Renal physiology. 303(6):F821-30. 2012.
Related Products / Services
Please note: All products are "FOR RESEARCH USE ONLY AND ARE NOT INTENDED FOR DIAGNOSTIC OR THERAPEUTIC USE"