CLASP1 Polyclonal Antibody

Cat.#: 165178

Special Price 226.5 USD

Availability: In Stock
- +

Add to cart to get an online quotation

Product Information

  • Product Name
    CLASP1 Polyclonal Antibody
  • Documents
  • Description
    Polyclonal antibody to CLASP1
  • Tested applications
    WB, IHC, IF
  • Species reactivity
    Human, Mouse, Rat
  • Alternative names
    CLASP1 antibody; MAST1 antibody; CLIP-associating protein 1 antibody
  • Isotype
    Rabbit IgG
  • Preparation
    Antigen: Recombinant fusion protein containing a sequence corresponding to amino acids 1389-1538 of human CLASP1 (NP_056097.1).
  • Clonality
    Polyclonal
  • Formulation
    PBS with 0.02% sodium azide, 50% glycerol, pH7.3.
  • Storage instructions
    Store at -20℃. Avoid freeze / thaw cycles.
  • Applications
    WB 1:500 - 1:2000
    IHC 1:50 - 1:200
    IF 1:50 - 1:100
  • Validations

    Western blot - CLASP1 Polyclonal Antibody

    Western blot - CLASP1 Polyclonal Antibody

    Western blot analysis of extracts of various cell lines, using CLASP1 antibody at 1:1000 dilution.Secondary antibody: HRP Goat Anti-Rabbit IgG (H+L) at 1:10000 dilution.Lysates/proteins: 25ug per lane.Blocking buffer: 3% nonfat dry milk in TBST.Detection: ECL Enhanced Kit .Exposure time: 10s.

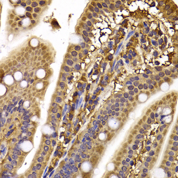
    Immunohistochemistry - CLASP1 Polyclonal Antibody

    Immunohistochemistry - CLASP1 Polyclonal Antibody

    Immunohistochemistry of paraffin-embedded mouse ileum using CLASP1 antibody at dilution of 1:100 (40x lens).

    Immunofluorescence - CLASP1 Polyclonal Antibody

    Immunofluorescence - CLASP1 Polyclonal Antibody

    Immunofluorescence analysis of A549 cells using CLASP1 antibody . Blue: DAPI for nuclear staining.

  • Background
    Microtubule plus-end tracking protein that promotes the stabilization of dynamic microtubules. Involved in the nucleation of noncentrosomal microtubules originating from the trans-Golgi network (TGN). Required for the polarization of the cytoplasmic microtubule arrays in migrating cells towards the leading edge of the cell. May act at the cell cortex to enhance the frequency of rescue of depolymerizing microtubules by attaching their plus-ends to cortical platforms composed of ERC1 and PHLDB2. This cortical microtubule stabilizing activity is regulated at least in part by phosphatidylinositol 3-kinase signaling. Also performs a similar stabilizing function at the kinetochore which is essential for the bipolar alignment of chromosomes on the mitotic spindle.

Please note: All products are "FOR RESEARCH USE ONLY AND ARE NOT INTENDED FOR DIAGNOSTIC OR THERAPEUTIC USE"