CIAO1 Polyclonal Antibody

Cat.#: 165327

Special Price 226.5 USD

Availability: In Stock
- +

Add to cart to get an online quotation

Product Information

  • Product Name
    CIAO1 Polyclonal Antibody
  • Documents
  • Description
    Polyclonal antibody to CIAO1
  • Tested applications
    WB, IHC
  • Species reactivity
    Human, Mouse, Rat
  • Alternative names
    CIAO1 antibody; CIA1 antibody; WDR39 antibody; cytosolic iron-sulfur assembly component 1 antibody
  • Isotype
    Rabbit IgG
  • Preparation
    Antigen: Recombinant fusion protein containing a sequence corresponding to amino acids 1-339 of human CIAO1 (NP_004795.1).
  • Clonality
    Polyclonal
  • Formulation
    PBS with 0.02% sodium azide, 50% glycerol, pH7.3.
  • Storage instructions
    Store at -20℃. Avoid freeze / thaw cycles.
  • Applications
    WB 1:500 - 1:2000
    IHC 1:50 - 1:200
  • Validations

    Western blot - CIAO1 Polyclonal Antibody

    Western blot - CIAO1 Polyclonal Antibody

    Western blot analysis of extracts of various cell lines, using CIAO1 antibody at 1:1000 dilution.Secondary antibody: HRP Goat Anti-Rabbit IgG (H+L) at 1:10000 dilution.Lysates/proteins: 25ug per lane.Blocking buffer: 3% nonfat dry milk in TBST.Detection: ECL Enhanced Kit .Exposure time: 90s.

    Immunohistochemistry - CIAO1 Polyclonal Antibody

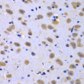
    Immunohistochemistry - CIAO1 Polyclonal Antibody

    Immunohistochemistry of paraffin-embedded rat brain using CIAO1 antibody at dilution of 1:100 (40x lens).

    Immunohistochemistry - CIAO1 Polyclonal Antibody

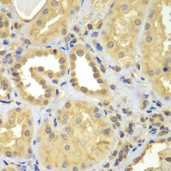
    Immunohistochemistry - CIAO1 Polyclonal Antibody

    Immunohistochemistry of paraffin-embedded human kidney using CIAO1 antibody at dilution of 1:100 (40x lens).

  • Background
    Key component of the cytosolic iron-sulfur protein assembly (CIA) complex, a multiprotein complex that mediates the incorporation of iron-sulfur cluster into extramitochondrial Fe/S proteins. As a CIA complex component, interacts specifically with CIAO2A or CIAO2B and MMS19 to assist different branches of iron-sulfur protein assembly, depending of its interactors. The complex CIAO1:CIAO2B:MMS19 binds to and facilitates the assembly of most cytosolic-nuclear Fe/S proteins. CIAO1:CIAO2A specifically matures ACO1 and stabilizes IREB2. Seems to specifically modulate the transactivation activity of WT1. As part of the mitotic spindle-associated MMXD complex it may play a role in chromosome segregation.

Please note: All products are "FOR RESEARCH USE ONLY AND ARE NOT INTENDED FOR DIAGNOSTIC OR THERAPEUTIC USE"