CHURC1 antibody

Cat.#: 109305

Size:

Special Price 239.0 USD

Availability: In Stock
- +

Add to cart to get an online quotation

Product Information

  • Product Name
    CHURC1 antibody
  • Documents
  • Description
    CHURC1 Rabbit Polyclonal antibody. Positive WB detected in mouse skin tissue, HeLa cells, mouse liver tissue, U-937 cells. Positive IHC detected in human brain tissue, human gliomas tissue, human kidney tissue. Observed molecular weight by Western-blot: 13 kDa
  • Tested applications
    ELISA, IHC, WB
  • Species reactivity
    Human,Mouse,Rat; other species not tested.
  • Alternative names
    C14orf52 antibody; chch antibody; CHURC1 antibody; churchill domain containing 1 antibody; FLJ33064 antibody; My015 antibody; Protein Churchill antibody
  • Isotype
    Rabbit IgG
  • Preparation
    This antibody was obtained by immunization of CHURC1 recombinant protein (Accession Number: NM_001386928). Purification method: Antigen affinity purified.
  • Clonality
    Polyclonal
  • Formulation
    PBS with 0.02% sodium azide and 50% glycerol pH 7.3.
  • Storage instructions
    Store at -20℃. DO NOT ALIQUOT
  • Applications

    Recommended Dilution:

    WB: 1:200-1:1000

    IHC: 1:20-1:200

  • Validations

    mouse skin tissue were subjected to SDS PAGE followed by western blot with Catalog No:109305(CHURC1 antibody) at dilution of 1:300

    mouse skin tissue were subjected to SDS PAGE followed by western blot with Catalog No:109305(CHURC1 antibody) at dilution of 1:300

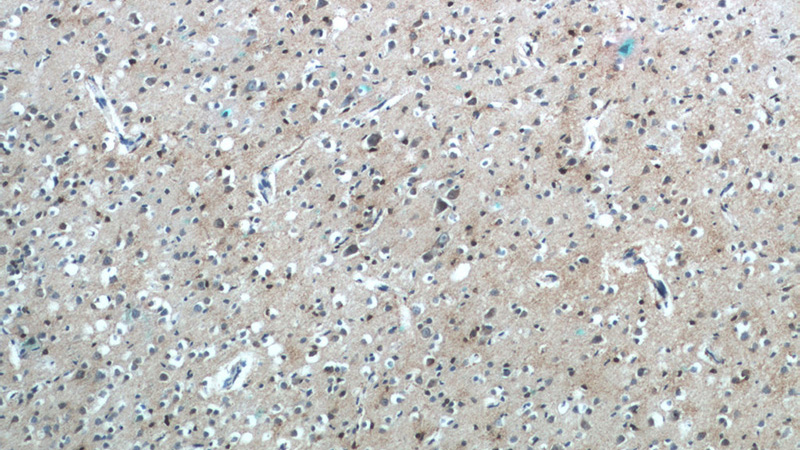
    Immunohistochemistry of paraffin-embedded human brain tissue slide using Catalog No:109305(CHURC1 Antibody) at dilution of 1:50 (under 10x lens)

    Immunohistochemistry of paraffin-embedded human brain tissue slide using Catalog No:109305(CHURC1 Antibody) at dilution of 1:50 (under 10x lens)

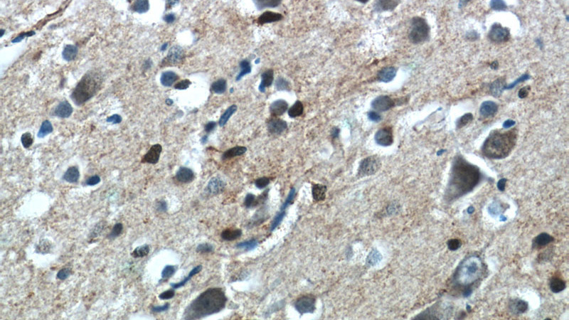
    Immunohistochemistry of paraffin-embedded human brain tissue slide using Catalog No:109305(CHURC1 Antibody) at dilution of 1:50 (under 40x lens)

    Immunohistochemistry of paraffin-embedded human brain tissue slide using Catalog No:109305(CHURC1 Antibody) at dilution of 1:50 (under 40x lens)

  • Background
    CHURC1 (churchill domain containing 1), also known as C14orf52 or chch. The function of CHURC1 has not been widely studied, and is yet to be fully elucidated. It may be a transcriptional activator that mediates FGF signaling during neural development.The MW of this protein is 13 kDa, and Catalog#12247-1-AP specially recognises the 13 kDa protein.

Please note: All products are "FOR RESEARCH USE ONLY AND ARE NOT INTENDED FOR DIAGNOSTIC OR THERAPEUTIC USE"