CHIT1 Polyclonal Antibody

Cat.#: 163660

Special Price 226.5 USD

Availability: In Stock
- +

Add to cart to get an online quotation

Product Information

  • Product Name
    CHIT1 Polyclonal Antibody
  • Documents
  • Description
    Polyclonal antibody to CHIT1
  • Tested applications
    WB, IHC
  • Species reactivity
    Human, Mouse
  • Alternative names
    CHIT1 antibody; CHI3 antibody; CHIT antibody; CHITD antibody; chitinase 1 antibody
  • Isotype
    Rabbit IgG
  • Preparation
    Antigen: Recombinant fusion protein containing a sequence corresponding to amino acids 217-466 of human CHIT1 (NP_003456.1).
  • Clonality
    Polyclonal
  • Formulation
    PBS with 0.02% sodium azide, 50% glycerol, pH7.3.
  • Storage instructions
    Store at -20℃. Avoid freeze / thaw cycles.
  • Applications
    WB 1:500 - 1:2000
    IHC 1:50 - 1:200
  • Validations

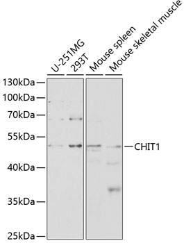
    Western blot - CHIT1 Polyclonal Antibody

    Western blot - CHIT1 Polyclonal Antibody

    Western blot analysis of extracts of various cell lines, using CHIT1 antibody at 1:1000 dilution.Secondary antibody: HRP Goat Anti-Rabbit IgG (H+L) at 1:10000 dilution.Lysates/proteins: 25ug per lane.Blocking buffer: 3% nonfat dry milk in TBST.

    Immunohistochemistry - CHIT1 Polyclonal Antibody

    Immunohistochemistry - CHIT1 Polyclonal Antibody

    Immunohistochemistry of paraffin-embedded human normal stomach using CHIT1 antibody at dilution of 1:200 (40x lens).

  • Background
    Degrades chitin, chitotriose and chitobiose. May participate in the defense against nematodes and other pathogens. Isoform 3 has no enzymatic activity.

Please note: All products are "FOR RESEARCH USE ONLY AND ARE NOT INTENDED FOR DIAGNOSTIC OR THERAPEUTIC USE"