CHCHD3 Polyclonal Antibody

Cat.#: 165969

Special Price 226.5 USD

Availability: In Stock
- +

Add to cart to get an online quotation

Product Information

  • Product Name
    CHCHD3 Polyclonal Antibody
  • Documents
  • Description
    Polyclonal antibody to CHCHD3
  • Tested applications
    WB, IHC
  • Species reactivity
    Human, Mouse, Rat
  • Alternative names
    CHCHD3 antibody; MINOS3 antibody; Mic19 antibody; PPP1R22 antibody; MICOS complex subunit MIC19 antibody
  • Isotype
    Rabbit IgG
  • Preparation
    Antigen: Recombinant fusion protein containing a sequence corresponding to amino acids 1-227 of human CHCHD3 (NP_060282.1).
  • Clonality
    Polyclonal
  • Formulation
    PBS with 0.02% sodium azide, 50% glycerol, pH7.3.
  • Storage instructions
    Store at -20℃. Avoid freeze / thaw cycles.
  • Applications
    WB 1:500 - 1:2000
    IHC 1:50 - 1:100
  • Validations

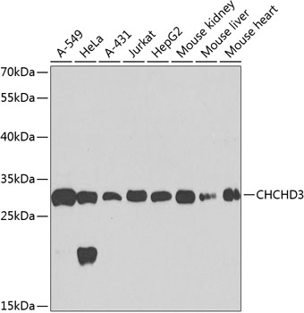
    Western blot - CHCHD3 Polyclonal Antibody

    Western blot - CHCHD3 Polyclonal Antibody

    Western blot analysis of extracts of various cell lines, using CHCHD3 antibody at 1:1000 dilution.Secondary antibody: HRP Goat Anti-Rabbit IgG (H+L) at 1:10000 dilution.Lysates/proteins: 25ug per lane.Blocking buffer: 3% nonfat dry milk in TBST.Detection: ECL Basic Kit .Exposure time: 40s.

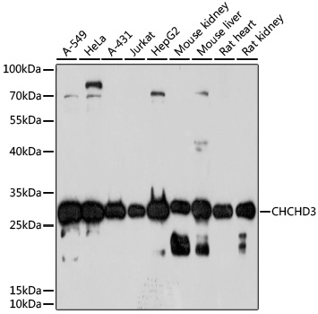
    Western blot - CHCHD3 Polyclonal Antibody

    Western blot - CHCHD3 Polyclonal Antibody

    Western blot analysis of extracts of various cells, using CHCHD3 antibody at 1:1000 dilution ratio through one-step method.Secondary antibody: HRP Goat Anti-Rabbit IgG (H+L) at 1:10000 dilution.Lysates/proteins: 25ug per lane.Blocking buffer: 3% nonfat dry milk in TBST.Detection: ECL Basic Kit .Exposure time: 5min.

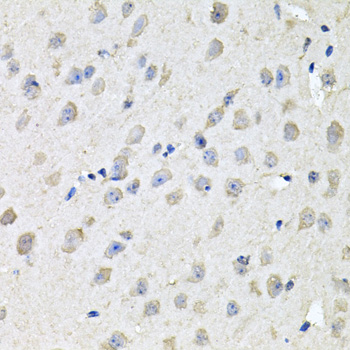
    Immunohistochemistry - CHCHD3 Polyclonal Antibody

    Immunohistochemistry - CHCHD3 Polyclonal Antibody

    Immunohistochemistry of paraffin-embedded mouse brain using CHCHD3 antibody at dilution of 1:100 (40x lens).

    Immunohistochemistry - CHCHD3 Polyclonal Antibody

    Immunohistochemistry - CHCHD3 Polyclonal Antibody

    Immunohistochemistry of paraffin-embedded rat brain using CHCHD3 antibody at dilution of 1:100 (40x lens).

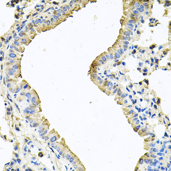
    Immunohistochemistry - CHCHD3 Polyclonal Antibody

    Immunohistochemistry - CHCHD3 Polyclonal Antibody

    Immunohistochemistry of paraffin-embedded mouse lung using CHCHD3 antibody at dilution of 1:100 (40x lens).

  • Background
    Component of the MICOS complex, a large protein complex of the mitochondrial inner membrane that plays crucial roles in the maintenance of crista junctions, inner membrane architecture, and formation of contact sites to the outer membrane. Has also been shown to function as a transcription factor which binds to the BAG1 promoter and represses BAG1 transcription. Plays an important role in the maintenance of the MICOS complex stability and the mitochondrial cristae morphology.

Please note: All products are "FOR RESEARCH USE ONLY AND ARE NOT INTENDED FOR DIAGNOSTIC OR THERAPEUTIC USE"