CEMIP Polyclonal Antibody

Cat.#: 165970

Special Price 226.5 USD

Availability: In Stock
- +

Add to cart to get an online quotation

Product Information

  • Product Name
    CEMIP Polyclonal Antibody
  • Documents
  • Description
    Polyclonal antibody to CEMIP
  • Tested applications
    WB, IHC
  • Species reactivity
    Human, Mouse
  • Alternative names
    CEMIP antibody; CCSP1 antibody; HYBID antibody; KIAA1199 antibody; TMEM2L antibody; cell migration inducing hyaluronan binding protein antibody
  • Isotype
    Rabbit IgG
  • Preparation
    Antigen: Recombinant fusion protein containing a sequence corresponding to amino acids 180-420 of human CEMIP (NP_061159.1).
  • Clonality
    Polyclonal
  • Formulation
    PBS with 0.02% sodium azide, 50% glycerol, pH7.3.
  • Storage instructions
    Store at -20℃. Avoid freeze / thaw cycles.
  • Applications
    WB 1:500 - 1:2000
    IHC 1:50 - 1:200
  • Validations

    Western blot - CEMIP Polyclonal Antibody

    Western blot - CEMIP Polyclonal Antibody

    Western blot analysis of extracts of various cell lines, using CEMIP antibody at 1:3000 dilution._Secondary antibody: HRP Goat Anti-Rabbit IgG (H+L) at 1:10000 dilution._Lysates/proteins: 25ug per lane._Blocking buffer: 3% nonfat dry milk in TBST._Detection: ECL Enhanced Kit ._Exposure time: 90s.

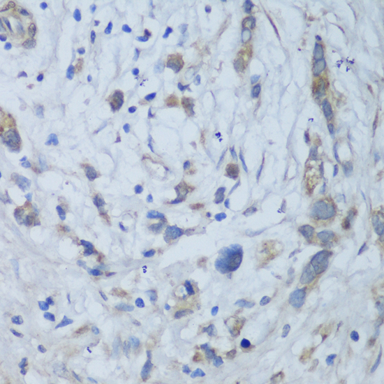
    Immunohistochemistry - CEMIP Polyclonal Antibody

    Immunohistochemistry - CEMIP Polyclonal Antibody

    Immunohistochemistry of paraffin-embedded human lung cancer using CEMIP antibody at dilution of 1:150 (40x lens).

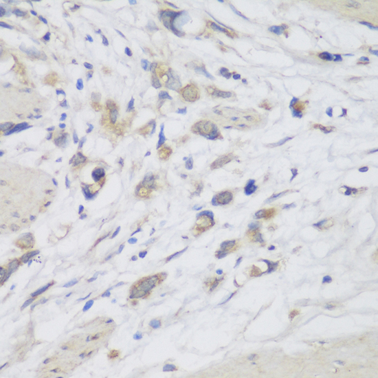
    Immunohistochemistry - CEMIP Polyclonal Antibody

    Immunohistochemistry - CEMIP Polyclonal Antibody

    Immunohistochemistry of paraffin-embedded human gastric cancer using CEMIP antibody at dilution of 1:150 (40x lens).

  • Background
    Mediates depolymerization of hyaluronic acid (HA) via the cell membrane-associated clathrin-coated pit endocytic pathway. Binds to hyaluronic acid. Hydrolyzes high molecular weight hyaluronic acid to produce an intermediate-sized product, a process that may occur through rapid vesicle endocytosis and recycling without intracytoplasmic accumulation or digestion in lysosomes. Involved in hyaluronan catabolism in the dermis of the skin and arthritic synovium. Positively regulates epithelial-mesenchymal transition (EMT), and hence tumor cell growth, invasion and cancer dissemination. In collaboration with HSPA5/BIP, promotes cancer cell migration in a calcium and PKC-dependent manner. May be involved in hearing.

Please note: All products are "FOR RESEARCH USE ONLY AND ARE NOT INTENDED FOR DIAGNOSTIC OR THERAPEUTIC USE"