-
Product Name
CDH17 antibody
- Documents
-
Description
CDH17 Mouse Monoclonal antibody. Positive WB detected in human colon tissue, pig colon tissue. Positive IHC detected in human colon cancer tissue, human colon tissue, human pancreas cancer tissue, human pancreas tissue, human stomach cancer tissue. Observed molecular weight by Western-blot: 120 kDa
-
Tested applications
ELISA, WB, IHC
-
Species reactivity
Human; other species not tested.
-
Alternative names
Cadherin 17 antibody; CDH16 antibody; CDH17 antibody; FLJ26931 antibody; HPT 1 antibody; HPT1 antibody; LI cadherin antibody; Liver intestine cadherin antibody
-
Isotype
Mouse IgG1
-
Preparation
This antibody was obtained by immunization of CDH17 recombinant protein (Accession Number: NM_004063). Purification method: Protein G purified.
-
Clonality
Monoclonal
-
Formulation
PBS with 0.02% sodium azide and 50% glycerol pH 7.3.
-
Storage instructions
Store at -20℃. DO NOT ALIQUOT
-
Applications
Recommended Dilution:
WB: 1:500-1:5000
IHC: 1:50-1:500
-
Validations
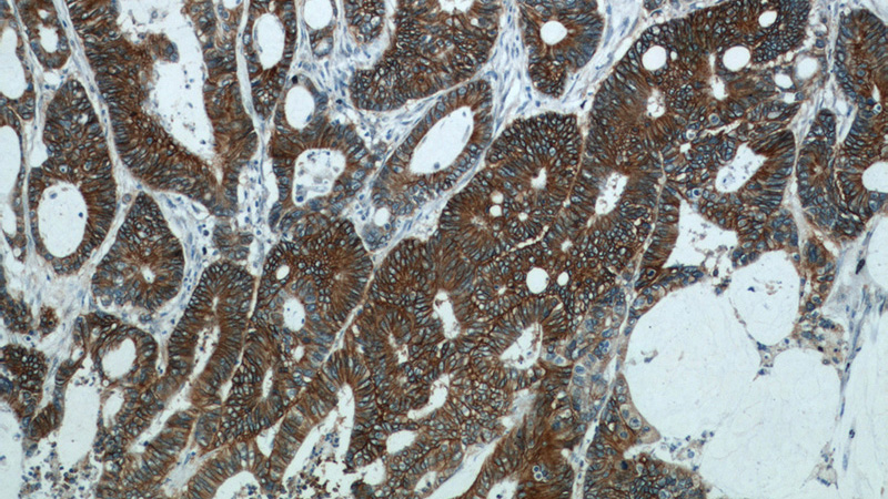
Immunohistochemistry of paraffin-embedded human colon cancer tissue slide using (CDH17 Antibody) at dilution of 1:300 (under 10x lens).
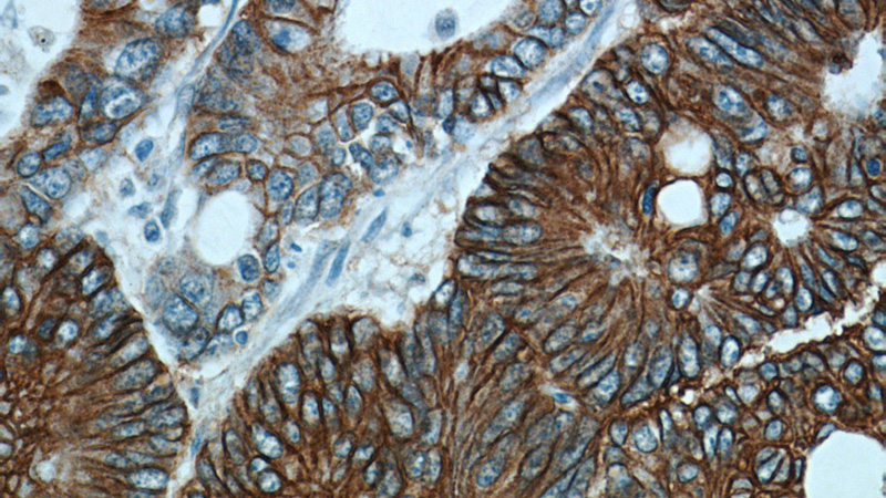
Immunohistochemistry of paraffin-embedded human colon cancer tissue slide using (CDH17 Antibody) at dilution of 1:300 (under 40x lens).
human colon tissue were subjected to SDS PAGE followed by western blot with Catalog No:107146(CDH17 Antibody) at dilution of 1:1000
-
Background
CDH17 represents cadherin 17, LI cadherin (liver-intestine)
Related Products / Services
Please note: All products are "FOR RESEARCH USE ONLY AND ARE NOT INTENDED FOR DIAGNOSTIC OR THERAPEUTIC USE"