CDH11 Polyclonal Antibody

Cat.#: 165704

Special Price 226.5 USD

Availability: In Stock
- +

Add to cart to get an online quotation

Product Information

  • Product Name
    CDH11 Polyclonal Antibody
  • Documents
  • Description
    Polyclonal antibody to CDH11
  • Tested applications
    WB, IHC
  • Species reactivity
    Human, Mouse, Rat
  • Alternative names
    CDH11 antibody; CAD11 antibody; CDHOB antibody; OB antibody; OSF-4 antibody; cadherin-11 antibody
  • Isotype
    Rabbit IgG
  • Preparation
    Antigen: Recombinant fusion protein containing a sequence corresponding to amino acids 637-796 of human CDH11 (NP_001788.2).
  • Clonality
    Polyclonal
  • Formulation
    PBS with 0.02% sodium azide, 50% glycerol, pH7.3.
  • Storage instructions
    Store at -20℃. Avoid freeze / thaw cycles.
  • Applications
    WB 1:500 - 1:2000
    IHC 1:50 - 1:100
  • Validations

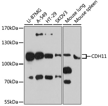
    Western blot - CDH11 Polyclonal Antibody

    Western blot - CDH11 Polyclonal Antibody

    Western blot analysis of extracts of various cell lines, using CDH11 antibody at 1:3000 dilution.Secondary antibody: HRP Goat Anti-Rabbit IgG (H+L) at 1:10000 dilution.Lysates/proteins: 25ug per lane.Blocking buffer: 3% nonfat dry milk in TBST.Detection: ECL Basic Kit .Exposure time: 90s.

    Immunohistochemistry - CDH11 Polyclonal Antibody

    Immunohistochemistry - CDH11 Polyclonal Antibody

    Immunohistochemistry of paraffin-embedded mouse brain using CDH11 antibody at dilution of 1:100 (40x lens).

  • Background
    Cadherins are calcium-dependent cell adhesion proteins. They preferentially interact with themselves in a homophilic manner in connecting cells; cadherins may thus contribute to the sorting of heterogeneous cell types.

Please note: All products are "FOR RESEARCH USE ONLY AND ARE NOT INTENDED FOR DIAGNOSTIC OR THERAPEUTIC USE"