CDCA8 Polyclonal Antibody

Cat.#: 161155

Special Price 226.5 USD

Availability: In Stock
- +

Add to cart to get an online quotation

Product Information

  • Product Name
    CDCA8 Polyclonal Antibody
  • Documents
  • Description
    Polyclonal antibody to CDCA8
  • Tested applications
    WB, IHC
  • Species reactivity
    Human, Mouse, Rat
  • Alternative names
    CDCA8 antibody; BOR antibody; BOREALIN antibody; DasraB antibody; MESRGP antibody; borealin antibody
  • Isotype
    Rabbit IgG
  • Preparation
    Antigen: Recombinant fusion protein containing a sequence corresponding to amino acids 1-280 of human CDCA8 (NP_060571.1).
  • Clonality
    Polyclonal
  • Formulation
    PBS with 0.02% sodium azide, 50% glycerol, pH7.3.
  • Storage instructions
    Store at -20℃. Avoid freeze / thaw cycles.
  • Applications
    WB 1:500 - 1:1000
    IHC 1:50 - 1:100
  • Validations

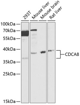
    Western blot - CDCA8 Polyclonal Antibody

    Western blot - CDCA8 Polyclonal Antibody

    Western blot analysis of extracts of various cell lines, using CDCA8 antibody at 1:1000 dilution.Secondary antibody: HRP Goat Anti-Rabbit IgG (H+L) at 1:10000 dilution.Lysates/proteins: 25ug per lane.Blocking buffer: 3% nonfat dry milk in TBST.Detection: ECL Basic Kit .Exposure time: 60s.

    Immunohistochemistry - CDCA8 Polyclonal Antibody

    Immunohistochemistry - CDCA8 Polyclonal Antibody

    Immunohistochemistry of paraffin-embedded human lung cancer using CDCA8 antibody at dilution of 1:100 (40x lens).

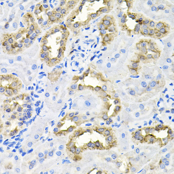
    Immunohistochemistry - CDCA8 Polyclonal Antibody

    Immunohistochemistry - CDCA8 Polyclonal Antibody

    Immunohistochemistry of paraffin-embedded rat kidney using CDCA8 antibody at dilution of 1:100 (40x lens).

  • Background
    Component of the chromosomal passenger complex (CPC), a complex that acts as a key regulator of mitosis. The CPC complex has essential functions at the centromere in ensuring correct chromosome alignment and segregation and is required for chromatin-induced microtubule stabilization and spindle assembly. Major effector of the TTK kinase in the control of attachment-error-correction and chromosome alignment.

Please note: All products are "FOR RESEARCH USE ONLY AND ARE NOT INTENDED FOR DIAGNOSTIC OR THERAPEUTIC USE"