-
Product Name
CDC37L1 antibody
- Documents
-
Description
CDC37L1 Rabbit Polyclonal antibody. Positive WB detected in human kidney tissue. Positive IHC detected in human heart. Observed molecular weight by Western-blot: 39kd
-
Tested applications
ELISA, WB, IHC
-
Species reactivity
human; other species not tested.
-
Alternative names
CDC37L1 antibody; FLJ20639 antibody; CDC37B antibody; HARC antibody
-
Isotype
Rabbit IgG
-
Preparation
This antibody was obtained by immunization of CDC37L1 recombinant protein (Accession Number: NM_017913). Purification method: Antigen affinity purified.
-
Clonality
Polyclonal
-
Formulation
PBS with 0.02% sodium azide and 50% glycerol pH 7.3.
-
Storage instructions
Store at -20℃. DO NOT ALIQUOT
-
Applications
Recommended Dilution:
WB: 1:200-1:2000
IHC: 1:20-1:200
-
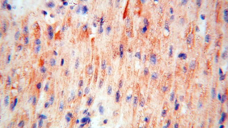
Validations
human kidney tissue were subjected to SDS PAGE followed by western blot with Catalog No:109104(CDC37L1 antibody) at dilution of 1:500
Immunohistochemical of paraffin-embedded human heart using Catalog No:109104(CDC37L1 antibody) at dilution of 1:50 (under 10x lens)
Immunohistochemical of paraffin-embedded human heart using Catalog No:109104(CDC37L1 antibody) at dilution of 1:50 (under 40x lens)
-
Background
CDC37L1 represents cell division cycle 37 homolog (S. cerevisiae)-like 1
Related Products / Services
Please note: All products are "FOR RESEARCH USE ONLY AND ARE NOT INTENDED FOR DIAGNOSTIC OR THERAPEUTIC USE"