CD31 Polyclonal Antibody

Cat.#: 160759

Special Price 226.5 USD

Availability: In Stock
- +

Add to cart to get an online quotation

Product Information

  • Product Name
    CD31 Polyclonal Antibody
  • Documents
  • Description
    Polyclonal antibody to CD31
  • Tested applications
    WB, IHC, IF, IP
  • Species reactivity
    Human, Mouse
  • Alternative names
    PECAM1 antibody; CD31 antibody; CD31/EndoCAM antibody; GPIIA' antibody; PECA1 antibody; PECAM-1 antibody; endoCAM antibody; platelet endothelial cell adhesion molecule antibody
  • Isotype
    Rabbit IgG
  • Preparation
    Antigen: A synthetic peptide corresponding to a sequence within amino acids 600 to the C-terminus of mouse CD31 (NP_001292086.1).
  • Clonality
    Polyclonal
  • Formulation
    PBS with 0.02% sodium azide, 50% glycerol, pH7.3.
  • Storage instructions
    Store at -20℃. Avoid freeze / thaw cycles.
  • Applications
    WB 1:500 - 1:2000
    IHC 1:50 - 1:200
    IF 1:50 - 1:200
    IP 1:50 - 1:200
  • Validations

    Western blot - CD31 Polyclonal Antibody

    Western blot - CD31 Polyclonal Antibody

    Western blot analysis of extracts of various cell lines, using CD31 antibody at 1:1000 dilution.Secondary antibody: HRP Goat Anti-Rabbit IgG (H+L) at 1:10000 dilution.Lysates/proteins: 25ug per lane.Blocking buffer: 3% nonfat dry milk in TBST.Detection: ECL Basic Kit .Exposure time: 30s.

    Immunohistochemistry - CD31 Polyclonal Antibody

    Immunohistochemistry - CD31 Polyclonal Antibody

    Immunohistochemistry of paraffin-embedded human liver cancer using CD31 antibody at dilution of 1:100 (40x lens).

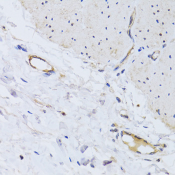
    Immunohistochemistry - CD31 Polyclonal Antibody

    Immunohistochemistry - CD31 Polyclonal Antibody

    Immunohistochemistry of paraffin-embedded human colon using CD31 antibody at dilution of 1:100 (40x lens).

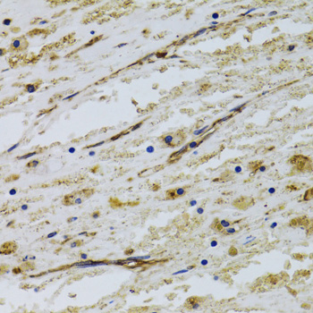
    Immunohistochemistry - CD31 Polyclonal Antibody

    Immunohistochemistry - CD31 Polyclonal Antibody

    Immunohistochemistry of paraffin-embedded human breast cancer using CD31 antibody at dilution of 1:100 (40x lens).

  • Background
    Cell adhesion molecule which is required for leukocyte transendothelial migration (TEM) under most inflammatory conditions. Tyr-690 plays a critical role in TEM and is required for efficient trafficking of PECAM1 to and from the lateral border recycling compartment (LBRC) and is also essential for the LBRC membrane to be targeted around migrating leukocytes. Trans-homophilic interaction may play a role in endothelial cell-cell adhesion via cell junctions. Heterophilic interaction with CD177 plays a role in transendothelial migration of neutrophils. Homophilic ligation of PECAM1 prevents macrophage-mediated phagocytosis of neighboring viable leukocytes by transmitting a detachment signal. Promotes macrophage-mediated phagocytosis of apoptotic leukocytes by tethering them to the phagocytic cells; PECAM1-mediated detachment signal appears to be disabled in apoptotic leukocytes. Modulates bradykinin receptor BDKRB2 activation. Regulates bradykinin- and hyperosmotic shock-induced ERK1/2 activation in endothelial cells. Induces susceptibility to atherosclerosis (By similarity).; Isoform Delta15: Does not protect against apoptosis.

Please note: All products are "FOR RESEARCH USE ONLY AND ARE NOT INTENDED FOR DIAGNOSTIC OR THERAPEUTIC USE"