CD151 Polyclonal Antibody

Cat.#: 163625

Special Price 226.5 USD

Availability: In Stock
- +

Add to cart to get an online quotation

Product Information

  • Product Name
    CD151 Polyclonal Antibody
  • Documents
  • Description
    Polyclonal antibody to CD151
  • Tested applications
    WB, IHC
  • Species reactivity
    Human, Mouse, Rat
  • Alternative names
    CD151 antibody; GP27 antibody; MER2 antibody; PETA-3 antibody; RAPH antibody; SFA1 antibody; TSPAN24 antibody; CD151 antigen antibody
  • Isotype
    Rabbit IgG
  • Preparation
    Antigen: Recombinant fusion protein containing a sequence corresponding to amino acids 113-221 of human CD151 (NP_001034579.1).
  • Clonality
    Polyclonal
  • Formulation
    PBS with 0.02% sodium azide, 50% glycerol, pH7.3.
  • Storage instructions
    Store at -20℃. Avoid freeze / thaw cycles.
  • Applications
    WB 1:500 - 1:2000
    IHC 1:50 - 1:200
  • Validations

    Western blot - CD151 Polyclonal Antibody

    Western blot - CD151 Polyclonal Antibody

    Western blot analysis of extracts of mouse skeletal muscle, using CD151 Antibody at 1:1000 dilution.Secondary antibody: HRP Goat Anti-Rabbit IgG (H+L) at 1:10000 dilution.Lysates/proteins: 25ug per lane.Blocking buffer: 3% nonfat dry milk in TBST.Detection: ECL Basic Kit .

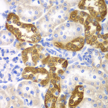
    Immunohistochemistry - CD151 Polyclonal Antibody

    Immunohistochemistry - CD151 Polyclonal Antibody

    Immunohistochemistry of paraffin-embedded rat kidney using CD151 antibody at dilution of 1:200 (40x lens).

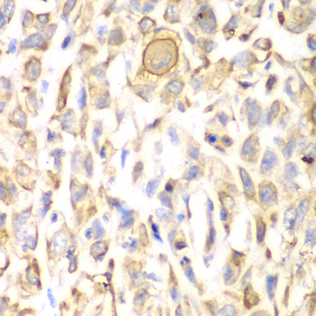
    Immunohistochemistry - CD151 Polyclonal Antibody

    Immunohistochemistry - CD151 Polyclonal Antibody

    Immunohistochemistry of paraffin-embedded human lung cancer using CD151 antibody at dilution of 1:200 (40x lens).

  • Background
    Essential for the proper assembly of the glomerular and tubular basement membranes in kidney.; (Microbial infection) Plays a role in human papillomavirus 16/HPV-16 endocytosis upon binding to cell surface receptor.

Please note: All products are "FOR RESEARCH USE ONLY AND ARE NOT INTENDED FOR DIAGNOSTIC OR THERAPEUTIC USE"