CCT6A Polyclonal Antibody

Cat.#: 164150

Special Price 226.5 USD

Availability: In Stock
- +

Add to cart to get an online quotation

Product Information

  • Product Name
    CCT6A Polyclonal Antibody
  • Documents
  • Description
    Polyclonal antibody to CCT6A
  • Tested applications
    WB, IHC
  • Species reactivity
    Human, Mouse, Rat
  • Alternative names
    CCT6A antibody; CCT-zeta antibody; CCT-zeta-1 antibody; CCT6 antibody; Cctz antibody; HTR3 antibody; MoDP-2 antibody; TCP-1-zeta antibody; TCP20 antibody; TCPZ antibody; TTCP20 antibody; T-complex protein 1 subunit zeta antibody
  • Isotype
    Rabbit IgG
  • Preparation
    Antigen: Recombinant fusion protein containing a sequence corresponding to amino acids 80-250 of human CCT6A (NP_001753.1).
  • Clonality
    Polyclonal
  • Formulation
    PBS with 0.02% sodium azide, 50% glycerol, pH7.3.
  • Storage instructions
    Store at -20℃. Avoid freeze / thaw cycles.
  • Applications
    WB 1:500 - 1:2000
    IHC 1:50 - 1:100
  • Validations

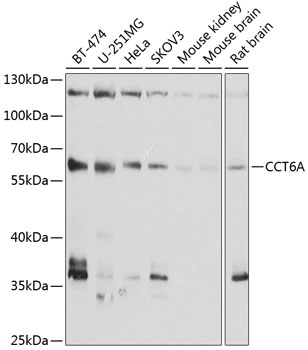
    Western blot - CCT6A Polyclonal Antibody

    Western blot - CCT6A Polyclonal Antibody

    Western blot analysis of extracts of various cell lines, using CCT6A antibody at 1:1000 dilution.Secondary antibody: HRP Goat Anti-Rabbit IgG (H+L) at 1:10000 dilution.Lysates/proteins: 25ug per lane.Blocking buffer: 3% nonfat dry milk in TBST.Detection: ECL Basic Kit .Exposure time: 90s.

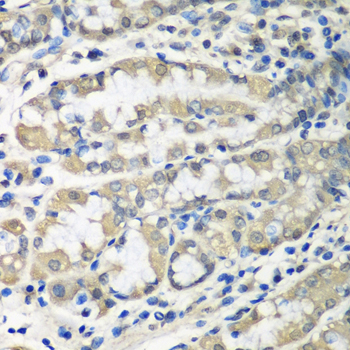
    Immunohistochemistry - CCT6A Polyclonal Antibody

    Immunohistochemistry - CCT6A Polyclonal Antibody

    Immunohistochemistry of paraffin-embedded human stomach using CCT6A antibody at dilution of 1:100 (40x lens).

  • Background
    Component of the chaperonin-containing T-complex (TRiC), a molecular chaperone complex that assists the folding of proteins upon ATP hydrolysis. The TRiC complex mediates the folding of WRAP53/TCAB1, thereby regulating telomere maintenance. The TRiC complex plays a role in the folding of actin and tubulin (Probable).

Please note: All products are "FOR RESEARCH USE ONLY AND ARE NOT INTENDED FOR DIAGNOSTIC OR THERAPEUTIC USE"