CCL3 Polyclonal Antibody

Cat.#: 165430

Special Price 226.5 USD

Availability: In Stock
- +

Add to cart to get an online quotation

Product Information

  • Product Name
    CCL3 Polyclonal Antibody
  • Documents
  • Description
    Polyclonal antibody to CCL3
  • Tested applications
    WB, IHC
  • Species reactivity
    Human, Mouse, Rat
  • Alternative names
    CCL3 antibody; G0S19-1 antibody; LD78ALPHA antibody; MIP-1-alpha antibody; MIP1A antibody; SCYA3 antibody; C-C motif chemokine 3 antibody
  • Isotype
    Rabbit IgG
  • Preparation
    Antigen: Recombinant fusion protein containing a sequence corresponding to amino acids 24-92 of human CCL3 (NP_002974.1).
  • Clonality
    Polyclonal
  • Formulation
    PBS with 0.02% sodium azide, 50% glycerol, pH7.3.
  • Storage instructions
    Store at -20℃. Avoid freeze / thaw cycles.
  • Applications
    WB 1:500 - 1:2000
    IHC 1:50 - 1:100
  • Validations

    Western blot - CCL3 Polyclonal Antibody

    Western blot - CCL3 Polyclonal Antibody

    Western blot analysis of extracts of various cell lines, using CCL3 antibody at 1:1000 dilution._Secondary antibody: HRP Goat Anti-Rabbit IgG (H+L) at 1:10000 dilution._Lysates/proteins: 25ug per lane._Blocking buffer: 3% nonfat dry milk in TBST._Detection: ECL Enhanced Kit ._Exposure time: 90s.

    Immunohistochemistry - CCL3 Polyclonal Antibody

    Immunohistochemistry - CCL3 Polyclonal Antibody

    Immunohistochemistry of paraffin-embedded human liver using CCL3 antibody at dilution of 1:100 (40x lens).

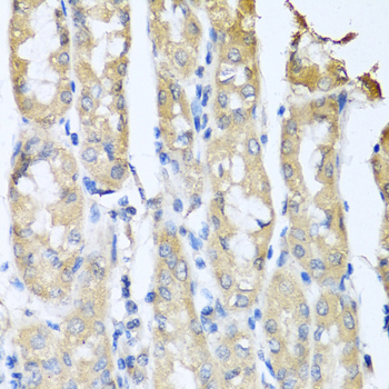
    Immunohistochemistry - CCL3 Polyclonal Antibody

    Immunohistochemistry - CCL3 Polyclonal Antibody

    Immunohistochemistry of paraffin-embedded human gastric cancer using CCL3 antibody at dilution of 1:100 (40x lens).

  • Background
    Monokine with inflammatory and chemokinetic properties. Binds to CCR1, CCR4 and CCR5. One of the major HIV-suppressive factors produced by CD8+ T-cells. Recombinant MIP-1-alpha induces a dose-dependent inhibition of different strains of HIV-1, HIV-2, and simian immunodeficiency virus (SIV).

Please note: All products are "FOR RESEARCH USE ONLY AND ARE NOT INTENDED FOR DIAGNOSTIC OR THERAPEUTIC USE"