CCL22 Polyclonal Antibody

Cat.#: 163638

Special Price 226.5 USD

Availability: In Stock
- +

Add to cart to get an online quotation

Product Information

  • Product Name
    CCL22 Polyclonal Antibody
  • Documents
  • Description
    Polyclonal antibody to CCL22
  • Tested applications
    IHC
  • Species reactivity
    Human, Rat
  • Alternative names
    CCL22 antibody; A-152E5.1 antibody; ABCD-1 antibody; DC/B-CK antibody; MDC antibody; SCYA22 antibody; STCP-1 antibody; C-C motif chemokine 22 antibody
  • Isotype
    Rabbit IgG
  • Preparation
    Antigen: Recombinant fusion protein containing a sequence corresponding to amino acids 1-93 of human CCL22 (NP_002981.2).
  • Clonality
    Polyclonal
  • Formulation
    PBS with 0.02% sodium azide, 50% glycerol, pH7.3.
  • Storage instructions
    Store at -20℃. Avoid freeze / thaw cycles.
  • Applications
    IHC 1:50 - 1:100
  • Validations

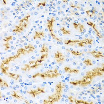
    Immunohistochemistry - CCL22 Polyclonal Antibody

    Immunohistochemistry - CCL22 Polyclonal Antibody

    Immunohistochemistry of paraffin-embedded rat kidney using CCL22 antibody at dilution of 1:100 (40x lens).

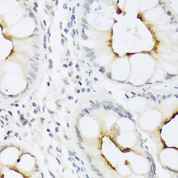
    Immunohistochemistry - CCL22 Polyclonal Antibody

    Immunohistochemistry - CCL22 Polyclonal Antibody

    Immunohistochemistry of paraffin-embedded human colon using CCL22 antibody at dilution of 1:100 (40x lens).

  • Background
    May play a role in the trafficking of activated/effector T-lymphocytes to inflammatory sites and other aspects of activated T-lymphocyte physiology. Chemotactic for monocytes, dendritic cells and natural killer cells. Mild chemoattractant for primary activated T-lymphocytes and a potent chemoattractant for chronically activated T-lymphocytes but has no chemoattractant activity for neutrophils, eosinophils, and resting T-lymphocytes. Binds to CCR4. Processed forms MDC(3-69), MDC(5-69) and MDC(7-69) seem not be active.

Please note: All products are "FOR RESEARCH USE ONLY AND ARE NOT INTENDED FOR DIAGNOSTIC OR THERAPEUTIC USE"