CCBL1 Polyclonal Antibody

Cat.#: 164926

Special Price 226.5 USD

Availability: In Stock
- +

Add to cart to get an online quotation

Product Information

  • Product Name
    CCBL1 Polyclonal Antibody
  • Documents
  • Description
    Polyclonal antibody to CCBL1
  • Tested applications
    WB, IHC, IF
  • Species reactivity
    Human, Mouse, Rat
  • Alternative names
    KYAT1 antibody; CCBL1 antibody; GTK antibody; KAT1 antibody; KATI antibody; kynurenine aminotransferase 1 antibody
  • Isotype
    Rabbit IgG
  • Preparation
    Antigen: Recombinant fusion protein containing a sequence corresponding to amino acids 1-270 of human CCBL1 (NP_001116144.1).
  • Clonality
    Polyclonal
  • Formulation
    PBS with 0.02% sodium azide, 50% glycerol, pH7.3.
  • Storage instructions
    Store at -20℃. Avoid freeze / thaw cycles.
  • Applications
    WB 1:500 - 1:2000
    IHC 1:50 - 1:200
    IF 1:10 - 1:100
  • Validations

    Western blot - CCBL1 Polyclonal Antibody

    Western blot - CCBL1 Polyclonal Antibody

    Western blot analysis of extracts of various cell lines, using CCBL1 Antibody at 1:1000 dilution.Secondary antibody: HRP Goat Anti-Rabbit IgG (H+L) at 1:10000 dilution.Lysates/proteins: 25ug per lane.Blocking buffer: 3% nonfat dry milk in TBST.Detection: ECL Basic Kit .Exposure time: 90s.

    Immunohistochemistry - CCBL1 Polyclonal Antibody

    Immunohistochemistry - CCBL1 Polyclonal Antibody

    Immunohistochemistry of paraffin-embedded mouse liver using CCBL1 antibody at dilution of 1:100 (40x lens).

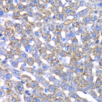
    Immunohistochemistry - CCBL1 Polyclonal Antibody

    Immunohistochemistry - CCBL1 Polyclonal Antibody

    Immunohistochemistry of paraffin-embedded mouse heart using CCBL1 antibody at dilution of 1:100 (40x lens).

    Immunofluorescence - CCBL1 Polyclonal Antibody

    Immunofluorescence - CCBL1 Polyclonal Antibody

    Immunofluorescence analysis of U2OS cells using CCBL1 antibody . Blue: DAPI for nuclear staining.

  • Background
    Catalyzes the irreversible transamination of the L-tryptophan metabolite L-kynurenine to form kynurenic acid (KA). Metabolizes the cysteine conjugates of certain halogenated alkenes and alkanes to form reactive metabolites. Catalyzes the beta-elimination of S-conjugates and Se-conjugates of L-(seleno)cysteine, resulting in the cleavage of the C-S or C-Se bond.

Please note: All products are "FOR RESEARCH USE ONLY AND ARE NOT INTENDED FOR DIAGNOSTIC OR THERAPEUTIC USE"