CCAR2 Polyclonal Antibody

Cat.#: 165201

Special Price 226.5 USD

Availability: In Stock
- +

Add to cart to get an online quotation

Product Information

  • Product Name
    CCAR2 Polyclonal Antibody
  • Documents
  • Description
    Polyclonal antibody to CCAR2
  • Tested applications
    WB, IHC, IF
  • Species reactivity
    Human, Mouse, Rat
  • Alternative names
    CCAR2 antibody; DBC-1 antibody; DBC1 antibody; KIAA1967 antibody; NET35 antibody; p30 DBC antibody; p30DBC antibody; cell cycle and apoptosis regulator 2 antibody
  • Isotype
    Rabbit IgG
  • Preparation
    Antigen: Recombinant fusion protein containing a sequence corresponding to amino acids 654-923 of human CCAR2 (NP_066997.3).
  • Clonality
    Polyclonal
  • Formulation
    PBS with 0.02% sodium azide, 50% glycerol, pH7.3.
  • Storage instructions
    Store at -20℃. Avoid freeze / thaw cycles.
  • Applications
    WB 1:500 - 1:2000
    IHC 1:50 - 1:200
    IF 1:50 - 1:200
  • Validations

    Western blot - CCAR2 Polyclonal Antibody

    Western blot - CCAR2 Polyclonal Antibody

    Western blot analysis of extracts of various cell lines, using CCAR2 antibody at 1:1000 dilution.Secondary antibody: HRP Goat Anti-Rabbit IgG (H+L) at 1:10000 dilution.Lysates/proteins: 25ug per lane.Blocking buffer: 3% nonfat dry milk in TBST.Detection: ECL Basic Kit .Exposure time: 30s.

    Immunohistochemistry - CCAR2 Polyclonal Antibody

    Immunohistochemistry - CCAR2 Polyclonal Antibody

    Immunohistochemistry of paraffin-embedded human kidney using CCAR2 antibody at dilution of 1:100 (40x lens).

    Immunohistochemistry - CCAR2 Polyclonal Antibody

    Immunohistochemistry - CCAR2 Polyclonal Antibody

    Immunohistochemistry of paraffin-embedded rat brain using CCAR2 antibody at dilution of 1:100 (40x lens).

    Immunohistochemistry - CCAR2 Polyclonal Antibody

    Immunohistochemistry - CCAR2 Polyclonal Antibody

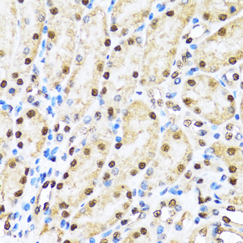
    Immunohistochemistry of paraffin-embedded rat kidney using CCAR2 antibody at dilution of 1:100 (40x lens).

    Immunohistochemistry - CCAR2 Polyclonal Antibody

    Immunohistochemistry - CCAR2 Polyclonal Antibody

    Immunohistochemistry of paraffin-embedded human rectal cancer using CCAR2 antibody at dilution of 1:100 (40x lens).

    Immunohistochemistry - CCAR2 Polyclonal Antibody

    Immunohistochemistry - CCAR2 Polyclonal Antibody

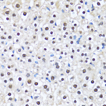
    Immunohistochemistry of paraffin-embedded mouse liver using CCAR2 antibody at dilution of 1:100 (40x lens).

    Immunohistochemistry - CCAR2 Polyclonal Antibody

    Immunohistochemistry - CCAR2 Polyclonal Antibody

    Immunohistochemistry of paraffin-embedded mouse brain using CCAR2 antibody at dilution of 1:100 (40x lens).

    Immunohistochemistry - CCAR2 Polyclonal Antibody

    Immunohistochemistry - CCAR2 Polyclonal Antibody

    Immunohistochemistry of paraffin-embedded mouse kidney using CCAR2 antibody at dilution of 1:100 (40x lens).

    Immunohistochemistry - CCAR2 Polyclonal Antibody

    Immunohistochemistry - CCAR2 Polyclonal Antibody

    Immunohistochemistry of paraffin-embedded mouse stomach using CCAR2 antibody at dilution of 1:100 (40x lens).

  • Background
    Core component of the DBIRD complex, a multiprotein complex that acts at the interface between core mRNP particles and RNA polymerase II (RNAPII) and integrates transcript elongation with the regulation of alternative splicing: the DBIRD complex affects local transcript elongation rates and alternative splicing of a large set of exons embedded in (A + T)-rich DNA regions. Inhibits SIRT1 deacetylase activity leading to increasing levels of p53/TP53 acetylation and p53-mediated apoptosis. Inhibits SUV39H1 methyltransferase activity. As part of a histone H3-specific methyltransferase complex may mediate ligand-dependent transcriptional activation by nuclear hormone receptors. Plays a critical role in maintaining genomic stability and cellular integrity following UV-induced genotoxic stress. Regulates the circadian expression of the core clock components NR1D1 and ARNTL/BMAL1. Enhances the transcriptional repressor activity of NR1D1 through stabilization of NR1D1 protein levels by preventing its ubiquitination and subsequent degradation. Represses the ligand-dependent transcriptional activation function of ESR2. Acts as a regulator of PCK1 expression and gluconeogenesis by a mechanism that involves, at least in part, both NR1D1 and SIRT1. Negatively regulates the deacetylase activity of HDAC3 and can alter its subcellular localization. Positively regulates the beta-catenin pathway (canonical Wnt signaling pathway) and is required for MCC-mediated repression of the beta-catenin pathway. Represses ligand-dependent transcriptional activation function of NR1H2 and NR1H3 and inhibits the interaction of SIRT1 with NR1H3. Plays an important role in tumor suppression through p53/TP53 regulation; stabilizes p53/TP53 by affecting its interaction with ubiquitin ligase MDM2. Represses the transcriptional activator activity of BRCA1. Inhibits SIRT1 in a CHEK2 and PSEM3-dependent manner and inhibits the activity of CHEK2 in vitro.

Please note: All products are "FOR RESEARCH USE ONLY AND ARE NOT INTENDED FOR DIAGNOSTIC OR THERAPEUTIC USE"