CAV2 Monoclonal Antibody

Cat.#: 160615

Special Price 301.9 USD

Availability: In Stock
- +

Add to cart to get an online quotation

Product Information

  • Product Name
    CAV2 Monoclonal Antibody
  • Documents
  • Description
    Monoclonal antibody to CAV2
  • Tested applications
    WB, IHC, IF, IP
  • Species reactivity
    Human
  • Alternative names
    CAV2 antibody; CAV antibody; caveolin-2 antibody
  • Isotype
    Rabbit IgG
  • Preparation
    Antigen: Recombinant protein of human CAV2
  • Clonality
    Monoclonal
  • Formulation
    PBS with 0.02% sodium azide, 50% glycerol, pH7.3.
  • Storage instructions
    Store at -20℃. Avoid freeze / thaw cycles.
  • Applications
    WB 1:500 - 1:2000
    IHC 1:50 - 1:200
    IF 1:50 - 1:200
    IP 1:20 - 1:50
  • Validations

    Western blot - CAV2 Monoclonal Antibody

    Western blot - CAV2 Monoclonal Antibody

    Western blot analysis of extracts of HUVEC cells, using CAV2 antibody .Secondary antibody: HRP Goat Anti-Rabbit IgG (H+L) at 1:10000 dilution.Lysates/proteins: 25ug per lane.Blocking buffer: 3% nonfat dry milk in TBST.

    Immunohistochemistry - CAV2 Monoclonal Antibody

    Immunohistochemistry - CAV2 Monoclonal Antibody

    Immunohistochemistry of paraffin-embedded human cervix using CAV2 antibody at dilution of 1:100 (40x lens).

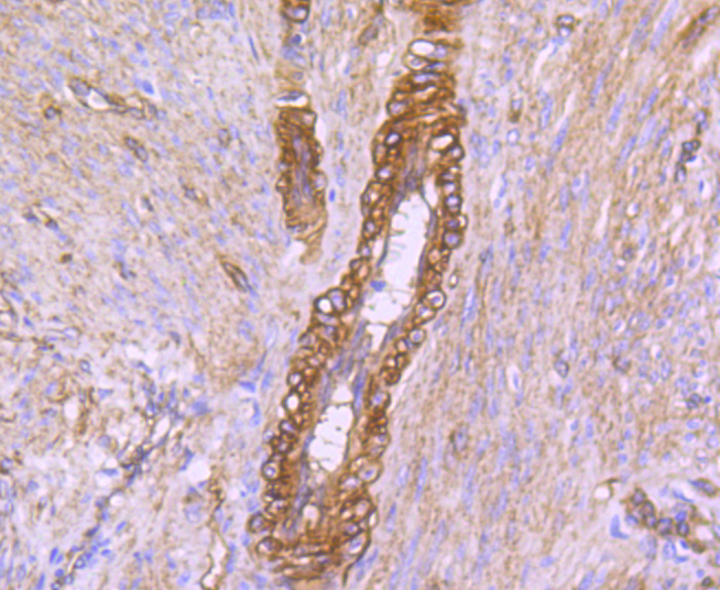
    Immunohistochemistry - CAV2 Monoclonal Antibody

    Immunohistochemistry - CAV2 Monoclonal Antibody

    Immunohistochemistry of paraffin-embedded human uterus using CAV2 antibody at dilution of 1:100 (40x lens).

    Immunofluorescence - CAV2 Monoclonal Antibody

    Immunofluorescence - CAV2 Monoclonal Antibody

    Immunofluorescence analysis of HeLa cells using CAV2 antibody .

  • Background
    May act as a scaffolding protein within caveolar membranes. Interacts directly with G-protein alpha subunits and can functionally regulate their activity. Acts as an accessory protein in conjunction with CAV1 in targeting to lipid rafts and driving caveolae formation. The Ser-36 phosphorylated form has a role in modulating mitosis in endothelial cells. Positive regulator of cellular mitogenesis of the MAPK signaling pathway. Required for the insulin-stimulated nuclear translocation and activation of MAPK1 and STAT3, and the subsequent regulation of cell cycle progression (By similarity).

Please note: All products are "FOR RESEARCH USE ONLY AND ARE NOT INTENDED FOR DIAGNOSTIC OR THERAPEUTIC USE"