-
Product Name
CAPRIN1 antibody
- Documents
-
Description
CAPRIN1 Rabbit Polyclonal antibody. Positive IF detected in HepG2 cells, c℃hlear cryosections, Hela cells, ℃2 cells. Positive IHC detected in human breast cancer tissue, human testis tissue. Positive WB detected in HeLa and ND7 cells, HeLa cells, human brain tissue, human skeletal muscle tissue, human testis tissue, Jurkat cells, mouse brain tissue, mouse kidney tissue, mouse spleen tissue, SH-SY5Y cells. Positive IP detected in HeLa cells. Observed molecular weight by Western-blot: 116kd
-
Tested applications
ELISA, IHC, IP, WB, IF
-
Species reactivity
Human,Mouse,Rat; other species not tested.
-
Alternative names
caprin 1 antibody; CAPRIN1 antibody; GPI anchored protein p137 antibody; GPI p137 antibody; GPIAP1 antibody; GPIP137 antibody; M11S1 antibody; p137GPI antibody
-
Isotype
Rabbit IgG
-
Preparation
This antibody was obtained by immunization of CAPRIN1 recombinant protein (Accession Number: XM_017017749). Purification method: Antigen affinity purified.
-
Clonality
Polyclonal
-
Formulation
PBS with 0.02% sodium azide and 50% glycerol pH 7.3.
-
Storage instructions
Store at -20℃. DO NOT ALIQUOT
-
Applications
Recommended Dilution:
WB: 1:200-1:2000
IP: 1:200-1:1000
IHC: 1:20-1:200
IF: 1:10-1:100
-
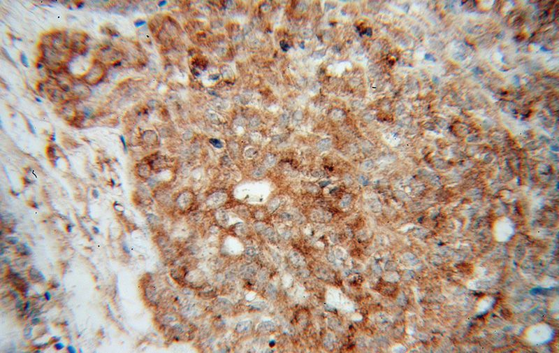
Validations
WB result of anti-CAPRIN1 (Catalog No:108839, 1:800) with HeLa and ND7 cells by Emily Towers.
IF result of anti-CAPRIN1(Catalog No:108839, 1:200) with oc2 cells by Dr. Emily Towers.
IF result of anti-CAPRIN1(Catalog No:108839, 1:200) with Cochlear cryosections by Dr. Emily Towers. CAPRIN1, purple; DAPI, blue.
IP Result of anti-CAPRIN1 (IP:Catalog No:108839, 3ug; Detection:Catalog No:108839 1:300) with HeLa cells lysate 2500ug.
Immunohistochemical of paraffin-embedded human breast cancer using Catalog No:108839(CAPRIN1 antibody) at dilution of 1:100 (under 40x lens)
Immunohistochemical of paraffin-embedded human breast cancer using Catalog No:108839(CAPRIN1 antibody) at dilution of 1:100 (under 10x lens)
Immunofluorescent analysis of HepG2 cells using Catalog No:108839(CAPRIN1 Antibody) at dilution of 1:25 and Rhodamine-Goat anti-Rabbit IgG
-
Background
CAPRIN1(Caprin-1) is a cytoplasmic phosphoprotein which may regulate the transport and translation of mRNAs of proteins involved in synaptic plasticity in neurons and cell proliferation and migration in multiple cell types. Its levels, except in the brain, are tightly correlated with cellular proliferation. Suppression of expression of human Caprin-1 resulted in slowing of the proliferation rate,which suggests its essential for normal cellular proliferation.
-
References
- Simeoni F, Tasselli L, Tanaka S. Proteomic analysis of the SIRT6 interactome: novel links to genome maintenance and cellular stress signaling. Scientific reports. 3:3085. 2013.
- Qiu YQ, Yang CW, Lee YZ. Targeting a ribonucleoprotein complex containing the caprin-1 protein and the c-Myc mRNA suppresses tumor growth in mice: an identification of a novel oncotarget. Oncotarget. 6(4):2148-63. 2015.
- Dash S, Dang CA, Beebe DC, Lachke SA. Deficiency of the RNA binding protein caprin2 causes lens defects and features of peters anomaly. Developmental dynamics : an official publication of the American Association of Anatomists. 244(10):1313-27. 2015.
- De Rubeis S, Pasciuto E, Li KW. CYFIP1 coordinates mRNA translation and cytoskeleton remodeling to ensure proper dendritic spine formation. Neuron. 79(6):1169-82. 2013.
- Johnson ME, Grassetti AV, Taroni JN. Stress granules and RNA processing bodies are novel autoantibody targets in systemic sclerosis. Arthritis research & therapy. 18(1):27. 2016.
- Panas MD, Kedersha N, McInerney GM. Methods for the characterization of stress granules in virus infected cells. Methods (San Diego, Calif.). 90:57-64. 2015.
- Aulas A, Caron G, Gkogkas CG. G3BP1 promotes stress-induced RNA granule interactions to preserve polyadenylated mRNA. The Journal of cell biology. 209(1):73-84. 2015.
- Rozelle DK, Filone CM, Kedersha N, Connor JH. Activation of stress response pathways promotes formation of antiviral granules and restricts virus replication. Molecular and cellular biology. 34(11):2003-16. 2014.
Related Products / Services
Please note: All products are "FOR RESEARCH USE ONLY AND ARE NOT INTENDED FOR DIAGNOSTIC OR THERAPEUTIC USE"