CALHM1 Polyclonal Antibody

Cat.#: 165573

Special Price 226.5 USD

Availability: In Stock
- +

Add to cart to get an online quotation

Product Information

  • Product Name
    CALHM1 Polyclonal Antibody
  • Documents
  • Description
    Polyclonal antibody to CALHM1
  • Tested applications
    WB, IHC
  • Species reactivity
    Human, Rat
  • Alternative names
    CALHM1 antibody; FAM26C antibody; calcium homeostasis modulator 1 antibody
  • Isotype
    Rabbit IgG
  • Preparation
    Antigen: Recombinant fusion protein containing a sequence corresponding to amino acids 202-346 of human CALHM1 (NP_001001412.3).
  • Clonality
    Polyclonal
  • Formulation
    PBS with 0.02% sodium azide, 50% glycerol, pH7.3.
  • Storage instructions
    Store at -20℃. Avoid freeze / thaw cycles.
  • Applications
    WB 1:500 - 1:2000
    IHC 1:50 - 1:200
  • Validations

    Western blot - CALHM1 Polyclonal Antibody

    Western blot - CALHM1 Polyclonal Antibody

    Western blot analysis of extracts of various cell lines, using CALHM1 antibody at 1:1000 dilution.Secondary antibody: HRP Goat Anti-Rabbit IgG (H+L) at 1:10000 dilution.Lysates/proteins: 25ug per lane.Blocking buffer: 3% nonfat dry milk in TBST.Detection: ECL Basic Kit .Exposure time: 90s.

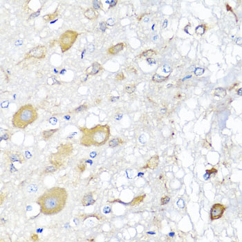
    Immunohistochemistry - CALHM1 Polyclonal Antibody

    Immunohistochemistry - CALHM1 Polyclonal Antibody

    Immunohistochemistry of paraffin-embedded rat brain using CALHM1 antibody at dilution of 1:100 (40x lens).

  • Background
    Pore-forming subunit of a voltage-gated ion channel required for sensory perception of sweet, bitter and umami tastes. Specifically present in type II taste bud cells, where it plays a central role in sweet, bitter and umami taste perception by inducing ATP release from the cell, ATP acting as a neurotransmitter to activate afferent neural gustatory pathways. Acts both as a voltage-gated and calcium-activated ion channel: mediates neuronal excitability in response to changes in extracellular Ca(2+) concentration. Has poor ion selectivity and forms a wide pore (around 14 Angstroms) that mediates permeation of Ca(2+), Na(+) and K(+), as well as permeation of monovalent anions. Acts as an activator of the ERK1 and ERK2 cascade. Triggers endoplasmic reticulum stress by reducing the calcium content of the endoplasmic reticulum. May indirectly control amyloid precursor protein (APP) proteolysis and aggregated amyloid-beta (Abeta) peptides levels in a Ca(2+) dependent manner.

Please note: All products are "FOR RESEARCH USE ONLY AND ARE NOT INTENDED FOR DIAGNOSTIC OR THERAPEUTIC USE"