Calcyphosine 2 antibody

Cat.#: 108820

Size:

Special Price 239.0 USD

Availability: In Stock
- +

Add to cart to get an online quotation

Product Information

  • Product Name
    Calcyphosine 2 antibody
  • Documents
  • Description
    Calcyphosine 2 Rabbit Polyclonal antibody. Positive IHC detected in human ovary tumor tissue. Positive WB detected in mouse testis tissue. Observed molecular weight by Western-blot: 54 kDa
  • Tested applications
    ELISA, WB, IHC
  • Species reactivity
    Human, Mouse; other species not tested.
  • Alternative names
    Calcyphosin 2 antibody; calcyphosine 2 antibody; CAPS2 antibody; FLJ34520 antibody; UG0636c06 antibody
  • Isotype
    Rabbit IgG
  • Preparation
    This antibody was obtained by immunization of Calcyphosine 2 recombinant protein (Accession Number: XM_005269194). Purification method: Antigen affinity purified.
  • Clonality
    Polyclonal
  • Formulation
    PBS with 0.1% sodium azide and 50% glycerol pH 7.3.
  • Storage instructions
    Store at -20℃. DO NOT ALIQUOT
  • Applications

    Recommended Dilution:

    WB: 1:500-1:5000

    IHC: 1:20-1:200

  • Validations

    mouse testis tissue were subjected to SDS PAGE followed by western blot with Catalog No:108820(CAPS2 antibody) at dilution of 1:300

    mouse testis tissue were subjected to SDS PAGE followed by western blot with Catalog No:108820(CAPS2 antibody) at dilution of 1:300

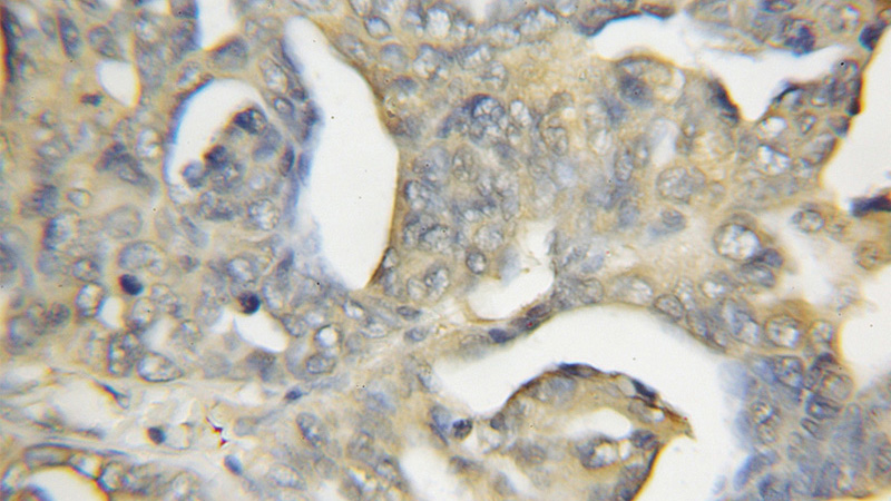
    Immunohistochemical of paraffin-embedded human ovary tumor using Catalog No:108820(CAPS2 antibody) at dilution of 1:50 (under 10x lens)

    Immunohistochemical of paraffin-embedded human ovary tumor using Catalog No:108820(CAPS2 antibody) at dilution of 1:50 (under 10x lens)

  • Background
    CAPS2 represents calcyphosine 2

Please note: All products are "FOR RESEARCH USE ONLY AND ARE NOT INTENDED FOR DIAGNOSTIC OR THERAPEUTIC USE"