-
Product Name
CADPS Polyclonal Antibody
- Documents
-
Description
Polyclonal antibody to CADPS
-
Tested applications
IHC
-
Species reactivity
Human
-
Alternative names
CADPS antibody; CADPS1 antibody; CAPS antibody; CAPS1 antibody; UNC-31 antibody; calcium dependent secretion activator antibody
-
Isotype
Rabbit IgG
-
Preparation
Antigen: Recombinant fusion protein containing a sequence corresponding to amino acids 1020-1100 of human CADPS (NP_899630.1).
-
Clonality
Polyclonal
-
Formulation
PBS with 0.02% sodium azide, 50% glycerol, pH7.3.
-
Storage instructions
Store at -20℃. Avoid freeze / thaw cycles.
-
Applications
IHC 1:50 - 1:200
-
Validations
Immunohistochemistry - CADPS Polyclonal Antibody
Immunohistochemistry of paraffin-embedded human breast cancer using CADPS antibody at dilution of 1:100 (40x lens).
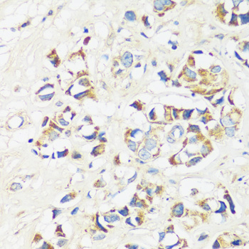
Immunohistochemistry - CADPS Polyclonal Antibody
Immunohistochemistry of paraffin-embedded human stomach using CADPS antibody at dilution of 1:100 (40x lens).
-
Background
Calcium-binding protein involved in exocytosis of vesicles filled with neurotransmitters and neuropeptides. Probably acts upstream of fusion in the biogenesis or maintenance of mature secretory vesicles. Regulates catecholamine loading of DCVs. May specifically mediate the Ca(2+)-dependent exocytosis of large dense-core vesicles (DCVs) and other dense-core vesicles by acting as a PtdIns(4,5)P2-binding protein that acts at prefusion step following ATP-dependent priming and participates in DCVs-membrane fusion. However, it may also participate in small clear synaptic vesicles (SVs) exocytosis and it is unclear whether its function is related to Ca(2+) triggering (By similarity).
Related Products / Services
Please note: All products are "FOR RESEARCH USE ONLY AND ARE NOT INTENDED FOR DIAGNOSTIC OR THERAPEUTIC USE"