-
Product Name
C11orf51 antibody
- Documents
-
Description
C11orf51 Rabbit Polyclonal antibody. Positive IHC detected in human lung tissue, human pancreas tissue. Positive WB detected in HeLa cells, Jurkat cells. Observed molecular weight by Western-blot: 14 kDa
-
Tested applications
ELISA, WB, IHC
-
Species reactivity
Human,Mouse,Rat; other species not tested.
-
Alternative names
APC15 antibody; C11orf51 antibody; DKFZp564M082 antibody; HSPC020 antibody
-
Isotype
Rabbit IgG
-
Preparation
This antibody was obtained by immunization of C11orf51 recombinant protein (Accession Number: NM_001278488). Purification method: Antigen affinity purified.
-
Clonality
Polyclonal
-
Formulation
PBS with 0.02% sodium azide and 50% glycerol pH 7.3.
-
Storage instructions
Store at -20℃. DO NOT ALIQUOT
-
Applications
Recommended Dilution:
WB: 1:200-1:2000
IHC: 1:20-1:200
-
Validations
HeLa cells were subjected to SDS PAGE followed by western blot with Catalog No:108639(C11orf51 antibody) at dilution of 1:300
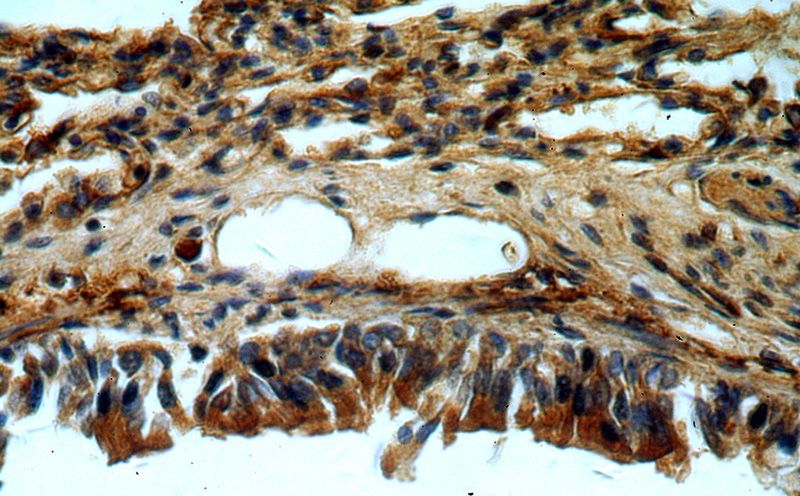
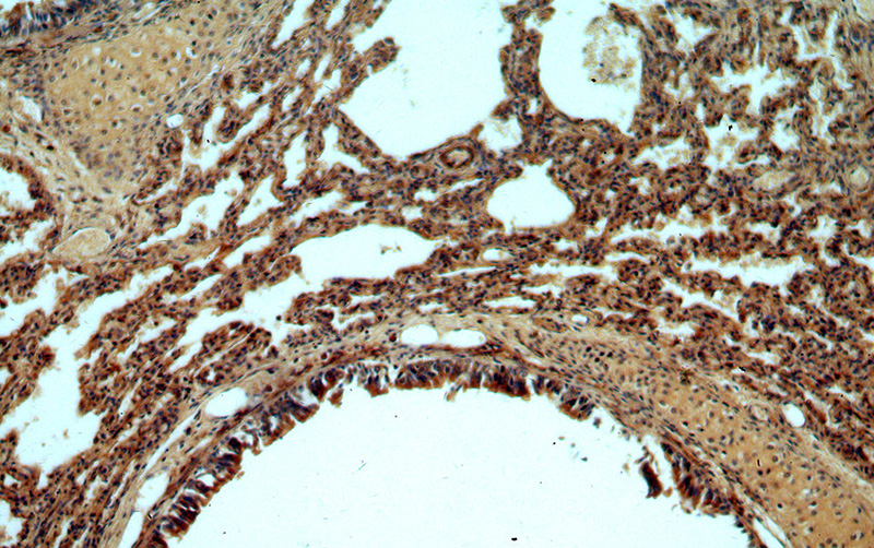
Immunohistochemical of paraffin-embedded human lung using Catalog No:108639(C11orf51 antibody) at dilution of 1:50 (under 10x lens)
Immunohistochemical of paraffin-embedded human lung using Catalog No:108639(C11orf51 antibody) at dilution of 1:50 (under 40x lens)
-
Background
C11orf51 represents chromosome 11 open reading frame 51
Related Products / Services
Please note: All products are "FOR RESEARCH USE ONLY AND ARE NOT INTENDED FOR DIAGNOSTIC OR THERAPEUTIC USE"