C10orf62 Polyclonal Antibody

Cat.#: 163478

Special Price 226.5 USD

Availability: In Stock
- +

Add to cart to get an online quotation

Product Information

  • Product Name
    C10orf62 Polyclonal Antibody
  • Documents
  • Description
    Polyclonal antibody to C10orf62
  • Tested applications
    IHC
  • Species reactivity
    Mouse, Rat
  • Alternative names
    C10orf62 antibody; bA548K23.1 antibody; uncharacterized protein C10orf62 antibody
  • Isotype
    Rabbit IgG
  • Preparation
    Antigen: Recombinant fusion protein containing a sequence corresponding to amino acids 1-223 of human C10orf62 (NP_001009997.2).
  • Clonality
    Polyclonal
  • Formulation
    PBS with 0.02% sodium azide, 50% glycerol, pH7.3.
  • Storage instructions
    Store at -20℃. Avoid freeze / thaw cycles.
  • Applications
    IHC 1:50 - 1:200
  • Validations

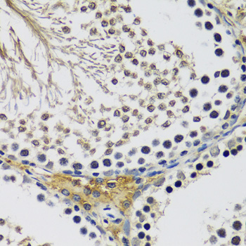
    Immunohistochemistry - C10orf62 Polyclonal Antibody

    Immunohistochemistry - C10orf62 Polyclonal Antibody

    Immunohistochemistry of paraffin-embedded rat testis using C10orf62 antibody at dilution of 1:100 (40x lens).

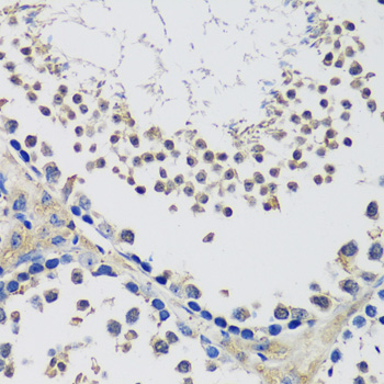
    Immunohistochemistry - C10orf62 Polyclonal Antibody

    Immunohistochemistry - C10orf62 Polyclonal Antibody

    Immunohistochemistry of paraffin-embedded mouse testis using C10orf62 antibody at dilution of 1:100 (40x lens).

Please note: All products are "FOR RESEARCH USE ONLY AND ARE NOT INTENDED FOR DIAGNOSTIC OR THERAPEUTIC USE"