-
Product Name
BRUNOL6 antibody
- Documents
-
Description
BRUNOL6 Rabbit Polyclonal antibody. Positive WB detected in human brain tissue, HeLa cells. Positive IHC detected in human kidney. Observed molecular weight by Western-blot: 50kd or 39kd
-
Tested applications
ELISA, WB, IHC
-
Species reactivity
human, mouse, rat; other species not tested.
-
Alternative names
BRUNOL6 antibody; CELF6 antibody; RNA binding protein BRUNOL 6 antibody; CELF 6 antibody; Bruno like protein 6 antibody
-
Isotype
Rabbit IgG
-
Preparation
This antibody was obtained by immunization of BRUNOL6 recombinant protein (Accession Number: NM_052840). Purification method: Antigen affinity purified.
-
Clonality
Polyclonal
-
Formulation
PBS with 0.02% sodium azide and 50% glycerol pH 7.3.
-
Storage instructions
Store at -20℃. DO NOT ALIQUOT
-
Applications
Recommended Dilution:
WB: 1:200-1:2000
IHC: 1:20-1:200
-
Validations
human brain tissue were subjected to SDS PAGE followed by western blot with Catalog No:117247(BRUNOL6 antibody) at dilution of 1:500
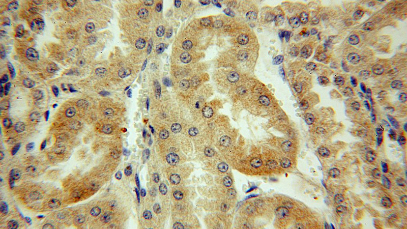
Immunohistochemical of paraffin-embedded human kidney using Catalog No:117247(BRUNOL6 antibody) at dilution of 1:50 (under 10x lens)
Immunohistochemical of paraffin-embedded human kidney using Catalog No:117247(BRUNOL6 antibody) at dilution of 1:50 (under 40x lens)
-
Background
BRUNOL6 represents bruno-like 6, RNA binding protein (Drosophila)
Related Products / Services
Please note: All products are "FOR RESEARCH USE ONLY AND ARE NOT INTENDED FOR DIAGNOSTIC OR THERAPEUTIC USE"