BRMS1 Polyclonal Antibody

Cat.#: 162303

Special Price 226.5 USD

Availability: In Stock
- +

Add to cart to get an online quotation

Product Information

  • Product Name
    BRMS1 Polyclonal Antibody
  • Documents
  • Description
    Polyclonal antibody to BRMS1
  • Tested applications
    WB, IHC
  • Species reactivity
    Human, Mouse, Rat
  • Alternative names
    BRMS1 antibody; breast cancer metastasis-suppressor 1 antibody
  • Isotype
    Rabbit IgG
  • Preparation
    Antigen: Recombinant fusion protein containing a sequence corresponding to amino acids 90-210 of human BRMS1 (NP_056214.1).
  • Clonality
    Polyclonal
  • Formulation
    PBS with 0.02% sodium azide, 50% glycerol, pH7.3.
  • Storage instructions
    Store at -20℃. Avoid freeze / thaw cycles.
  • Applications
    WB 1:500 - 1:2000
    IHC 1:50 - 1:100
  • Validations

    Western blot - BRMS1 Polyclonal Antibody

    Western blot - BRMS1 Polyclonal Antibody

    Western blot analysis of extracts of various cell lines, using BRMS1 antibody at 1:1000 dilution.Secondary antibody: HRP Goat Anti-Rabbit IgG (H+L) at 1:10000 dilution.Lysates/proteins: 25ug per lane.Blocking buffer: 3% nonfat dry milk in TBST.Detection: ECL Basic Kit .Exposure time: 10s.

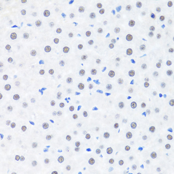
    Immunohistochemistry - BRMS1 Polyclonal Antibody

    Immunohistochemistry - BRMS1 Polyclonal Antibody

    Immunohistochemistry of paraffin-embedded rat liver using BRMS1 antibody at dilution of 1:100 (40x lens).

    Immunohistochemistry - BRMS1 Polyclonal Antibody

    Immunohistochemistry - BRMS1 Polyclonal Antibody

    Immunohistochemistry of paraffin-embedded rat heart using BRMS1 antibody at dilution of 1:100 (40x lens).

    Immunohistochemistry - BRMS1 Polyclonal Antibody

    Immunohistochemistry - BRMS1 Polyclonal Antibody

    Immunohistochemistry of paraffin-embedded human colon using BRMS1 antibody at dilution of 1:100 (40x lens).

    Immunohistochemistry - BRMS1 Polyclonal Antibody

    Immunohistochemistry - BRMS1 Polyclonal Antibody

    Immunohistochemistry of paraffin-embedded mouse liver using BRMS1 antibody at dilution of 1:100 (40x lens).

    Immunohistochemistry - BRMS1 Polyclonal Antibody

    Immunohistochemistry - BRMS1 Polyclonal Antibody

    Immunohistochemistry of paraffin-embedded mouse heart using BRMS1 antibody at dilution of 1:100 (40x lens).

  • Background
    Transcriptional repressor. Down-regulates transcription activation by NF-kappa-B by promoting the deacetylation of RELA at 'Lys-310'. Promotes HDAC1 binding to promoter regions. Down-regulates expression of anti-apoptotic genes that are controlled by NF-kappa-B. Promotes apoptosis in cells that have inadequate adherence to a substrate, a process called anoikis, and may thereby inhibit metastasis. May be a mediator of metastasis suppression in breast carcinoma.

Please note: All products are "FOR RESEARCH USE ONLY AND ARE NOT INTENDED FOR DIAGNOSTIC OR THERAPEUTIC USE"