BrdU Monoclonal Antibody

Cat.#: 162277

Special Price 226.5 USD

Availability: In Stock
- +

Add to cart to get an online quotation

Product Information

  • Product Name
    BrdU Monoclonal Antibody
  • Documents
  • Description
    Monoclonal antibody to BrdU
  • Tested applications
    IHC, ICC, IF
  • Species reactivity
    ALL
  • Isotype
    Mouse IgG1
  • Preparation
    Antigen: Bromodeoxyuridine
  • Clonality
    Monoclonal
  • Formulation
    PBS with 0.02% sodium azide, 50% glycerol, pH7.3.
  • Storage instructions
    Store at -20℃. Avoid freeze / thaw cycles.
  • Applications
    IHC 1:50 - 1:500
    ICC 1:50 - 1:500
    IF 1:50 - 1:500
  • Validations

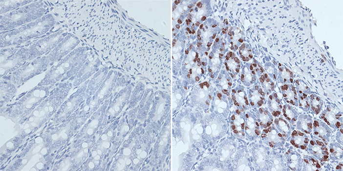
    Immunohistochemistry - BrdU Monoclonal Antibody

    Immunohistochemistry - BrdU Monoclonal Antibody

    Immunohistochemistry of paraffin-embedded mouse jejunum using BrdU antibody at dilution of 1:300 (40x lens).

    Immunofluorescence - BrdU Monoclonal Antibody

    Immunofluorescence - BrdU Monoclonal Antibody

    Immunofluorescence analysis of HeLa cells using BrdU antibody (Green) and TriMethyl-Histone H3-K27 antibody (Red). Blue: DAPI for nuclear staining.

Please note: All products are "FOR RESEARCH USE ONLY AND ARE NOT INTENDED FOR DIAGNOSTIC OR THERAPEUTIC USE"