BRD3 Polyclonal Antibody

Cat.#: 163743

Special Price 226.5 USD

Availability: In Stock
- +

Add to cart to get an online quotation

Product Information

  • Product Name
    BRD3 Polyclonal Antibody
  • Documents
  • Description
    Polyclonal antibody to BRD3
  • Tested applications
    WB, IHC, IF
  • Species reactivity
    Human, Rat
  • Alternative names
    BRD3 antibody; ORFX antibody; RING3L antibody; bromodomain containing 3 antibody
  • Isotype
    Rabbit IgG
  • Preparation
    Antigen: Recombinant fusion protein containing a sequence corresponding to amino acids 150-305 of human BRD3 (NP_031397.1).
  • Clonality
    Polyclonal
  • Formulation
    PBS with 0.02% sodium azide, 50% glycerol, pH7.3.
  • Storage instructions
    Store at -20℃. Avoid freeze / thaw cycles.
  • Applications
    WB 1:500 - 1:1000
    IHC 1:50 - 1:100
    IF 1:50 - 1:100
  • Validations

    Western blot - BRD3 Polyclonal Antibody

    Western blot - BRD3 Polyclonal Antibody

    Western blot analysis of extracts of various cell lines, using BRD3 antibody at 1:1000 dilution.Secondary antibody: HRP Goat Anti-Rabbit IgG (H+L) at 1:10000 dilution.Lysates/proteins: 25ug per lane.Blocking buffer: 3% nonfat dry milk in TBST.Detection: ECL Basic Kit .Exposure time: 5s.

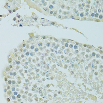
    Immunohistochemistry - BRD3 Polyclonal Antibody

    Immunohistochemistry - BRD3 Polyclonal Antibody

    Immunohistochemistry of paraffin-embedded rat testis using BRD3 antibody at dilution of 1:100 (40x lens).

  • Background
    Chromatin reader that recognizes and binds hyperacetylated chromatin and plays a role in the regulation of transcription, probably by chromatin remodeling and interaction with transcription factors. Regulates transcription by promoting the binding of the transcription factor GATA1 to its targets (By similarity).

Please note: All products are "FOR RESEARCH USE ONLY AND ARE NOT INTENDED FOR DIAGNOSTIC OR THERAPEUTIC USE"