BLZF1 Polyclonal Antibody

Cat.#: 164872

Special Price 226.5 USD

Availability: In Stock
- +

Add to cart to get an online quotation

Product Information

  • Product Name
    BLZF1 Polyclonal Antibody
  • Documents
  • Description
    Polyclonal antibody to BLZF1
  • Tested applications
    WB, IHC, IF
  • Species reactivity
    Human, Mouse, Rat
  • Alternative names
    BLZF1 antibody; GOLGIN-45 antibody; JEM-1 antibody; JEM-1s antibody; JEM1 antibody; golgin-45 antibody
  • Isotype
    Rabbit IgG
  • Preparation
    Antigen: Recombinant fusion protein containing a sequence corresponding to amino acids 1-400 of human BLZF1 (NP_003657.1).
  • Clonality
    Polyclonal
  • Formulation
    PBS with 0.02% sodium azide, 50% glycerol, pH7.3.
  • Storage instructions
    Store at -20℃. Avoid freeze / thaw cycles.
  • Applications
    WB 1:500 - 1:2000
    IHC 1:50 - 1:200
    IF 1:50 - 1:200
  • Validations

    Western blot - BLZF1 Polyclonal Antibody

    Western blot - BLZF1 Polyclonal Antibody

    Western blot analysis of extracts of various cell lines, using BLZF1 antibody at 1:1000 dilution.Secondary antibody: HRP Goat Anti-Rabbit IgG (H+L) at 1:10000 dilution.Lysates/proteins: 25ug per lane.Blocking buffer: 3% nonfat dry milk in TBST.Detection: ECL Basic Kit .Exposure time: 90s.

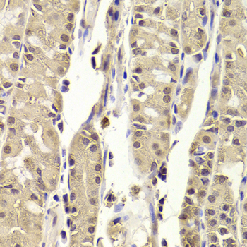
    Immunohistochemistry - BLZF1 Polyclonal Antibody

    Immunohistochemistry - BLZF1 Polyclonal Antibody

    Immunohistochemistry of paraffin-embedded human stomach using BLZF1 antibody at dilution of 1:100 (40x lens).

    Immunofluorescence - BLZF1 Polyclonal Antibody

    Immunofluorescence - BLZF1 Polyclonal Antibody

    Immunofluorescence analysis of U2OS cells using BLZF1 antibody . Blue: DAPI for nuclear staining.

  • Background
    Required for normal Golgi structure and for protein transport from the endoplasmic reticulum (ER) through the Golgi apparatus to the cell surface.

Please note: All products are "FOR RESEARCH USE ONLY AND ARE NOT INTENDED FOR DIAGNOSTIC OR THERAPEUTIC USE"