-
Product Name
BCS1L antibody
- Documents
-
Description
BCS1L Mouse Monoclonal antibody. Positive IF detected in MCF-7. Positive IHC detected in human gliomas. Positive WB detected in Colo320 cells. Observed molecular weight by Western-blot: 47KD
-
Tested applications
ELISA, WB, IHC, IF
-
Species reactivity
human, mouse; other species not tested.
-
Alternative names
BCS1L antibody; h BCS1 antibody; h BCS antibody; GRACILE antibody; FLNMS antibody
-
Isotype
Mouse IgG1
-
Preparation
This antibody was obtained by immunization of BCS1L recombinant protein (Accession Number: NM_001320717). Purification method: Protein G purified.
-
Clonality
Monoclonal
-
Formulation
PBS with 0.02% sodium azide and 50% glycerol pH 7.3.
-
Storage instructions
Store at -20℃. DO NOT ALIQUOT
-
Applications
Recommended Dilution:
WB: 1:500-1:5000
IHC: 1:20-1:200
IF: 1:20-1:200
-
Validations
COLO 320 cells were subjected to SDS PAGE followed by western blot with Catalog No:107083(BCS1L antibody) at dilution of 1:1000
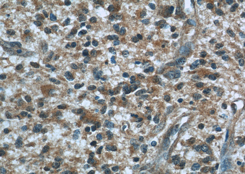
Immunohistochemical of paraffin-embedded human gliomas using Catalog No:107083(BCS1L antibody) at dilution of 1:50 (under 10x lens)
Immunohistochemical of paraffin-embedded human gliomas using Catalog No:107083(BCS1L antibody) at dilution of 1:50 (under 40x lens)
Immunofluorescent analysis of MCF-7 cells, using BCS1L antibody Catalog No: at 1:50 dilution and Rhodamine-labeled goat anti-mouse IgG (red).
-
Background
Human BCS1-like (BCS1L), a mitochondrial inner-membrane protein, is a chaperone necessary for the assembly of mitochondrial respiratory chain complex III. Recently studies indicated that the mutations in this protein may cause the GRACILE (growth retardation, aminoaciduria, cholestasis, iron overload, lactacidosis, and early death) syndrome, a recessively inherited lethal disease characterized by fetal growth retardation, lactic acidosis, aminoaciduria, cholestasis, and abnormalities in iron metabolism.
Related Products / Services
Please note: All products are "FOR RESEARCH USE ONLY AND ARE NOT INTENDED FOR DIAGNOSTIC OR THERAPEUTIC USE"