BCAS2 Polyclonal Antibody

Cat.#: 166624

Special Price 226.5 USD

Availability: In Stock
- +

Add to cart to get an online quotation

Product Information

  • Product Name
    BCAS2 Polyclonal Antibody
  • Documents
  • Description
    Polyclonal antibody to BCAS2
  • Tested applications
    WB, IHC, IF
  • Species reactivity
    Human, Mouse, Rat
  • Alternative names
    BCAS2 antibody; DAM1 antibody; SPF27 antibody; Snt309 antibody; pre-mRNA-splicing factor SPF27 antibody
  • Isotype
    Rabbit IgG
  • Preparation
    Antigen: Recombinant fusion protein containing a sequence corresponding to amino acids 1-225 of human BCAS2 (NP_005863.1).
  • Clonality
    Polyclonal
  • Formulation
    PBS with 0.02% sodium azide, 50% glycerol, pH7.3.
  • Storage instructions
    Store at -20℃. Avoid freeze / thaw cycles.
  • Applications
    WB 1:500 - 1:2000
    IHC 1:50 - 1:200
    IF 1:50 - 1:200
  • Validations

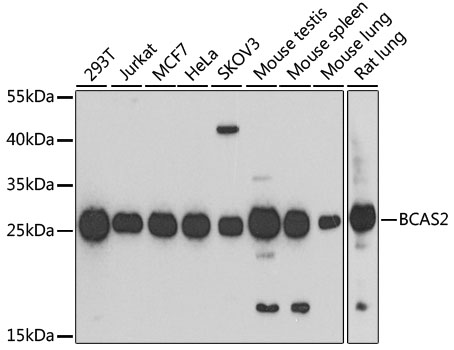
    Western blot - BCAS2 Polyclonal Antibody

    Western blot - BCAS2 Polyclonal Antibody

    Western blot analysis of extracts of various cell lines, using BCAS2 antibody at 1:1000 dilution.Secondary antibody: HRP Goat Anti-Rabbit IgG (H+L) at 1:10000 dilution.Lysates/proteins: 25ug per lane.Blocking buffer: 3% nonfat dry milk in TBST.Detection: ECL Basic Kit .Exposure time: 90s.

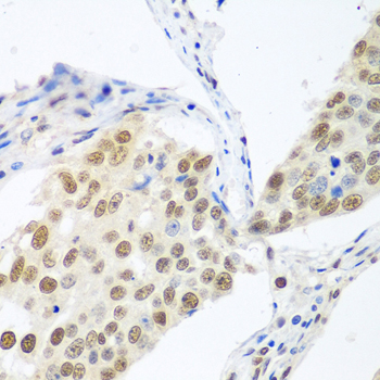
    Immunohistochemistry - BCAS2 Polyclonal Antibody

    Immunohistochemistry - BCAS2 Polyclonal Antibody

    Immunohistochemistry of paraffin-embedded human lung cancer using BCAS2 antibody at dilution of 1:100 (40x lens).

    Immunohistochemistry - BCAS2 Polyclonal Antibody

    Immunohistochemistry - BCAS2 Polyclonal Antibody

    Immunohistochemistry of paraffin-embedded human esophagus using BCAS2 antibody at dilution of 1:100 (40x lens).

    Immunohistochemistry - BCAS2 Polyclonal Antibody

    Immunohistochemistry - BCAS2 Polyclonal Antibody

    Immunohistochemistry of paraffin-embedded mouse brain using BCAS2 antibody at dilution of 1:100 (40x lens).

  • Background
    Component of the PRP19-CDC5L complex that forms an integral part of the spliceosome and is required for activating pre-mRNA splicing. May have a scaffolding role in the spliceosome assembly as it contacts all other components of the core complex. The PRP19-CDC5L complex may also play a role in the response to DNA damage (DDR).

Please note: All products are "FOR RESEARCH USE ONLY AND ARE NOT INTENDED FOR DIAGNOSTIC OR THERAPEUTIC USE"