BAIAP2 Polyclonal Antibody

Cat.#: 164482

Special Price 226.5 USD

Availability: In Stock
- +

Add to cart to get an online quotation

Product Information

  • Product Name
    BAIAP2 Polyclonal Antibody
  • Documents
  • Description
    Polyclonal antibody to BAIAP2
  • Tested applications
    WB, IHC, IF
  • Species reactivity
    Human, Rat
  • Alternative names
    BAIAP2 antibody; BAP2 antibody; FLAF3 antibody; IRSP53 antibody; BAI1 associated protein 2 antibody
  • Isotype
    Rabbit IgG
  • Preparation
    Antigen: Recombinant fusion protein containing a sequence corresponding to amino acids 362-521 of human BAIAP2 (NP_059344.1).
  • Clonality
    Polyclonal
  • Formulation
    PBS with 0.02% sodium azide, 50% glycerol, pH7.3.
  • Storage instructions
    Store at -20℃. Avoid freeze / thaw cycles.
  • Applications
    WB 1:500 - 1:2000
    IHC 1:50 - 1:200
    IF 1:50 - 1:200
  • Validations

    Western blot - BAIAP2 Polyclonal Antibody

    Western blot - BAIAP2 Polyclonal Antibody

    Western blot analysis of extracts of various cell lines, using BAIAP2 antibody at 1:1000 dilution.Secondary antibody: HRP Goat Anti-Rabbit IgG (H+L) at 1:10000 dilution.Lysates/proteins: 25ug per lane.Blocking buffer: 3% nonfat dry milk in TBST.

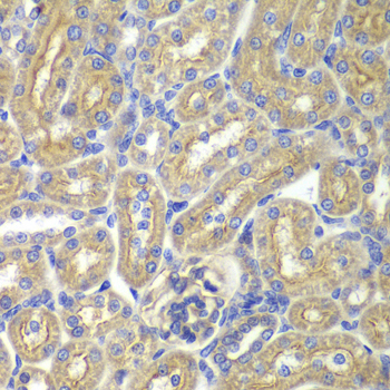
    Immunohistochemistry - BAIAP2 Polyclonal Antibody

    Immunohistochemistry - BAIAP2 Polyclonal Antibody

    Immunohistochemistry of paraffin-embedded rat kidney using BAIAP2 antibody at dilution of 1:200 (40x lens).

  • Background
    Adapter protein that links membrane-bound small G-proteins to cytoplasmic effector proteins. Necessary for CDC42-mediated reorganization of the actin cytoskeleton and for RAC1-mediated membrane ruffling. Involved in the regulation of the actin cytoskeleton by WASF family members and the Arp2/3 complex. Plays a role in neurite growth. Acts syngeristically with ENAH to promote filipodia formation. Plays a role in the reorganization of the actin cytoskeleton in response to bacterial infection. Participates in actin bundling when associated with EPS8, promoting filopodial protrusions.

Please note: All products are "FOR RESEARCH USE ONLY AND ARE NOT INTENDED FOR DIAGNOSTIC OR THERAPEUTIC USE"