BAF60a Polyclonal Antibody

Cat.#: 166253

Special Price 226.5 USD

Availability: In Stock
- +

Add to cart to get an online quotation

Product Information

  • Product Name
    BAF60a Polyclonal Antibody
  • Documents
  • Description
    Polyclonal antibody to BAF60a
  • Tested applications
    WB, IHC
  • Species reactivity
    Human, Mouse, Rat
  • Alternative names
    SMARCC1 antibody; BAF155 antibody; CRACC1 antibody; Rsc8 antibody; SRG3 antibody; SWI3 antibody; SWI/SNF complex subunit SMARCC1 antibody
  • Isotype
    Rabbit IgG
  • Preparation
    Antigen: Recombinant fusion protein containing a sequence corresponding to amino acids 1-120 of mouse BAF60a (NP_114030.2).
  • Clonality
    Polyclonal
  • Formulation
    PBS with 0.02% sodium azide, 50% glycerol, pH7.3.
  • Storage instructions
    Store at -20℃. Avoid freeze / thaw cycles.
  • Applications
    WB 1:500 - 1:2000
    IHC 1:50 - 1:200
  • Validations

    Western blot - BAF60a Polyclonal Antibody

    Western blot - BAF60a Polyclonal Antibody

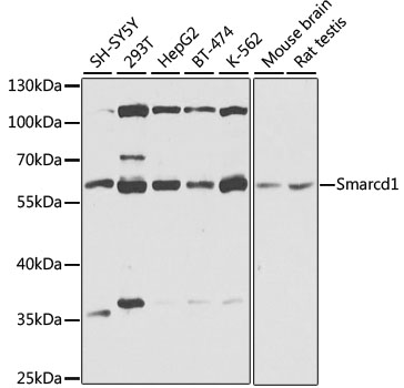
    Western blot analysis of extracts of various cell lines, using Smarcd1 antibody at 1:1000 dilution.Secondary antibody: HRP Goat Anti-Rabbit IgG (H+L) at 1:10000 dilution.Lysates/proteins: 25ug per lane.Blocking buffer: 3% nonfat dry milk in TBST.Detection: ECL Basic Kit .Exposure time: 15s.

    Immunohistochemistry - BAF60a Polyclonal Antibody

    Immunohistochemistry - BAF60a Polyclonal Antibody

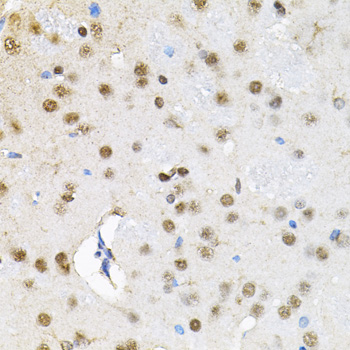
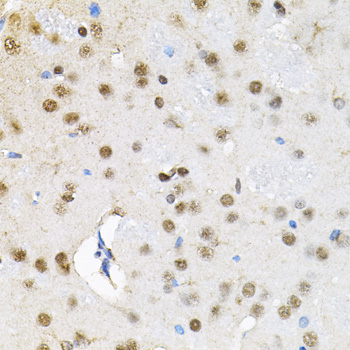
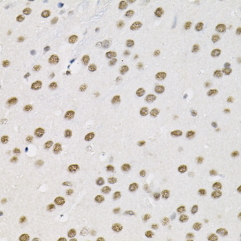
    Immunohistochemistry of paraffin-embedded rat brain using Smarcd1 antibody (40x lens).

    Immunohistochemistry - BAF60a Polyclonal Antibody

    Immunohistochemistry - BAF60a Polyclonal Antibody

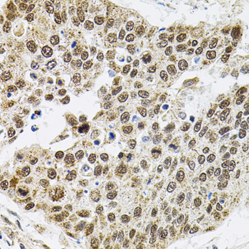
    Immunohistochemistry of paraffin-embedded human lung cancer using Smarcd1 antibody (40x lens).

    Immunohistochemistry - BAF60a Polyclonal Antibody

    Immunohistochemistry - BAF60a Polyclonal Antibody

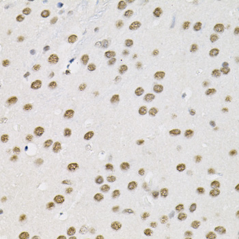
    Immunohistochemistry of paraffin-embedded mouse brain using Smarcd1 antibody (40x lens).

    Immunohistochemistry - BAF60a Polyclonal Antibody

    Immunohistochemistry - BAF60a Polyclonal Antibody

    Immunohistochemistry of paraffin-embedded rat brain using Smarcd1 antibody at dilution of 1:100 (40x lens).

    Immunohistochemistry - BAF60a Polyclonal Antibody

    Immunohistochemistry - BAF60a Polyclonal Antibody

    Immunohistochemistry of paraffin-embedded human lung cancer using Smarcd1 antibody at dilution of 1:100 (40x lens).

    Immunohistochemistry - BAF60a Polyclonal Antibody

    Immunohistochemistry - BAF60a Polyclonal Antibody

    Immunohistochemistry of paraffin-embedded mouse brain using Smarcd1 antibody at dilution of 1:100 (40x lens).

  • Background
    Involved in transcriptional activation and repression of select genes by chromatin remodeling (alteration of DNA-nucleosome topology). Component of SWI/SNF chromatin remodeling complexes that carry out key enzymatic activities, changing chromatin structure by altering DNA-histone contacts within a nucleosome in an ATP-dependent manner. Belongs to the neural progenitors-specific chromatin remodeling complex (npBAF complex) and the neuron-specific chromatin remodeling complex (nBAF complex). During neural development a switch from a stem/progenitor to a postmitotic chromatin remodeling mechanism occurs as neurons exit the cell cycle and become committed to their adult state. The transition from proliferating neural stem/progenitor cells to postmitotic neurons requires a switch in subunit composition of the npBAF and nBAF complexes. As neural progenitors exit mitosis and differentiate into neurons, npBAF complexes which contain ACTL6A/BAF53A and PHF10/BAF45A, are exchanged for homologous alternative ACTL6B/BAF53B and DPF1/BAF45B or DPF3/BAF45C subunits in neuron-specific complexes (nBAF). The npBAF complex is essential for the self-renewal/proliferative capacity of the multipotent neural stem cells. The nBAF complex along with CREST plays a role regulating the activity of genes essential for dendrite growth (By similarity). Has a strong influence on vitamin D-mediated transcriptional activity from an enhancer vitamin D receptor element (VDRE). May be a link between mammalian SWI-SNF-like chromatin remodeling complexes and the vitamin D receptor (VDR) heterodimer. Mediates critical interactions between nuclear receptors and the BRG1/SMARCA4 chromatin-remodeling complex for transactivation.

Please note: All products are "FOR RESEARCH USE ONLY AND ARE NOT INTENDED FOR DIAGNOSTIC OR THERAPEUTIC USE"