-
Product Name
B4GALT3 antibody
- Documents
-
Description
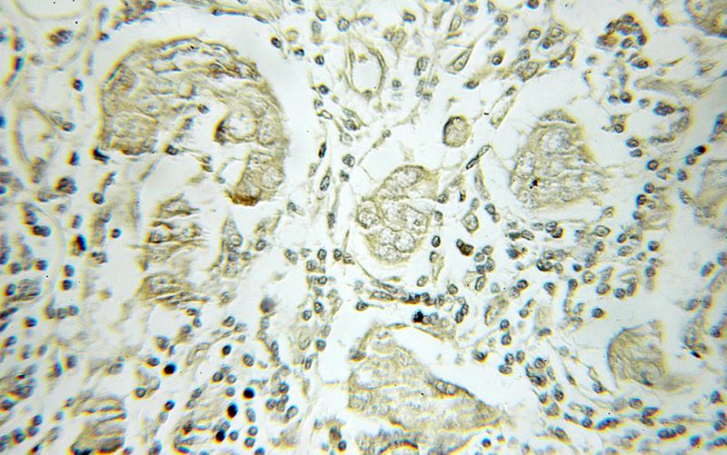
B4GALT3 Rabbit Polyclonal antibody. Positive IHC detected in human breast cancer.
-
Tested applications
ELISA, IHC
-
Species reactivity
human, mouse, rat; other species not tested.
-
Alternative names
B4GALT3 antibody; Beta 1 antibody; 4 GalTase 3 antibody; b4Gal T3 antibody; beta4Gal T3 antibody
-
Isotype
Rabbit IgG
-
Preparation
This antibody was obtained by immunization of B4GALT3 recombinant protein (Accession Number: XM_024450540). Purification method: Antigen affinity purified.
-
Clonality
Polyclonal
-
Formulation
PBS with 0.1% sodium azide and 50% glycerol pH 7.3.
-
Storage instructions
Store at -20℃. DO NOT ALIQUOT
-
Applications
Recommended Dilution:
IHC: 1:20-1:200
-
Validations
Immunohistochemical of paraffin-embedded human breast cancer using Catalog No:108394(B4GALT3 antibody) at dilution of 1:50 (under 10x lens)
-
Background
B4GALT3 represents UDP-Gal:betaGlcNAc beta 1,4- galactosyltransferase, polypeptide 3
Related Products / Services
Please note: All products are "FOR RESEARCH USE ONLY AND ARE NOT INTENDED FOR DIAGNOSTIC OR THERAPEUTIC USE"