-
Product Name
B4GALT2 antibody
- Documents
-
Description
B4GALT2 Rabbit Polyclonal antibody. Positive WB detected in PC-3 cells, mouse brain tissue, mouse ovary tissue, mouse skeletal muscle tissue, mouse large intestine tissue. Positive IHC detected in human colon cancer. Observed molecular weight by Western-blot: 42-45kd
-
Tested applications
ELISA, WB, IHC
-
Species reactivity
human, mouse, rat; other species not tested.
-
Alternative names
B4GALT2 antibody; B4Gal T3 antibody; beta4Gal T2 antibody; B4Gal T2 antibody; Beta 1 antibody; 4 GalTase 2 antibody
-
Isotype
Rabbit IgG
-
Preparation
This antibody was obtained by immunization of B4GALT2 recombinant protein (Accession Number: BC002431). Purification method: Antigen affinity purified.
-
Clonality
Polyclonal
-
Formulation
PBS with 0.02% sodium azide and 50% glycerol pH 7.3.
-
Storage instructions
Store at -20℃. DO NOT ALIQUOT
-
Applications
Recommended Dilution:
WB: 1:1000-1:10000
IHC: 1:20-1:200
-
Validations
PC-3 cells were subjected to SDS PAGE followed by western blot with Catalog No:108393(B4GALT2 antibody) at dilution of 1:1000
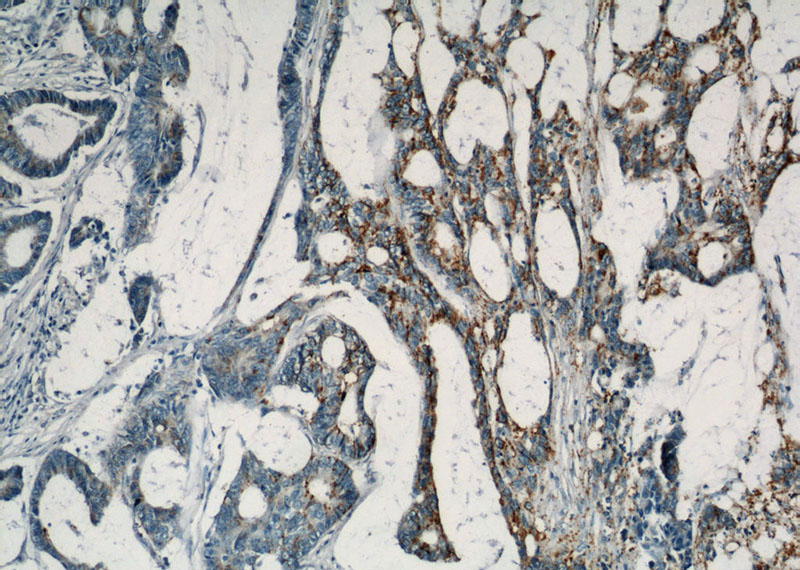
Immunohistochemical of paraffin-embedded human colon cancer using Catalog No:108393(B4GALT2 antibody) at dilution of 1:100 (under 10x lens)
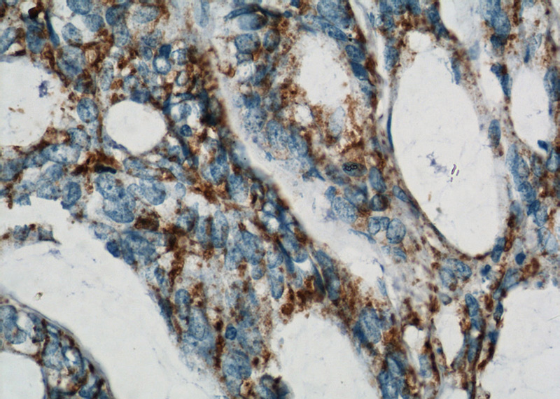
Immunohistochemical of paraffin-embedded human colon cancer using Catalog No:108393(B4GALT2 antibody) at dilution of 1:100 (under 40x lens)
-
Background
B4GALT2 represents UDP-Gal:betaGlcNAc beta 1,4- galactosyltransferase, polypeptide 2
Related Products / Services
Please note: All products are "FOR RESEARCH USE ONLY AND ARE NOT INTENDED FOR DIAGNOSTIC OR THERAPEUTIC USE"