-
Product Name
B3GNT5 antibody
- Documents
-
Description
B3GNT5 Rabbit Polyclonal antibody. Positive IHC detected in human lung tissue. Positive WB detected in mouse lung tissue, mouse cerebellum tissue. Observed molecular weight by Western-blot: 44kd
-
Tested applications
ELISA, WB, IHC
-
Species reactivity
Human,Mouse,Rat; other species not tested.
-
Alternative names
B3GN T5 antibody; B3GNT5 antibody; Beta 1 antibody; 3 Gn T5 antibody; beta3Gn T5 antibody; BGnT 5 antibody; Lactotriaosylceramide synthase antibody; Lc(3)Cer synthase antibody; Lc3 synthase antibody
-
Isotype
Rabbit IgG
-
Preparation
This antibody was obtained by immunization of B3GNT5 recombinant protein (Accession Number: NM_032047). Purification method: Antigen affinity purified.
-
Clonality
Polyclonal
-
Formulation
PBS with 0.02% sodium azide and 50% glycerol pH 7.3.
-
Storage instructions
Store at -20℃. DO NOT ALIQUOT
-
Applications
Recommended Dilution:
WB: 1:200-1:2000
IHC: 1:20-1:200
-
Validations
mouse lung tissue were subjected to SDS PAGE followed by western blot with Catalog No:117092(B3GNT5 antibody) at dilution of 1:500
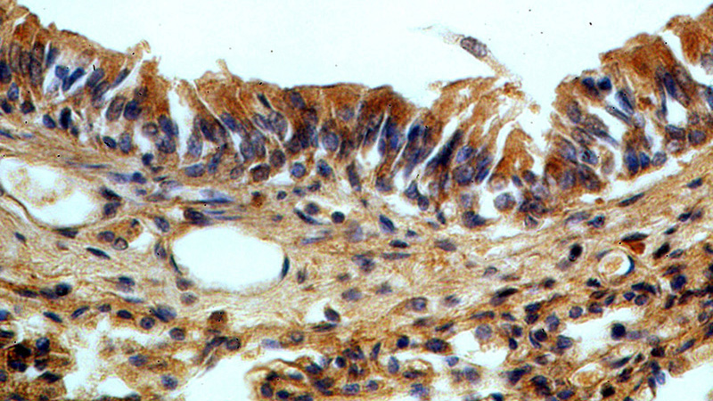
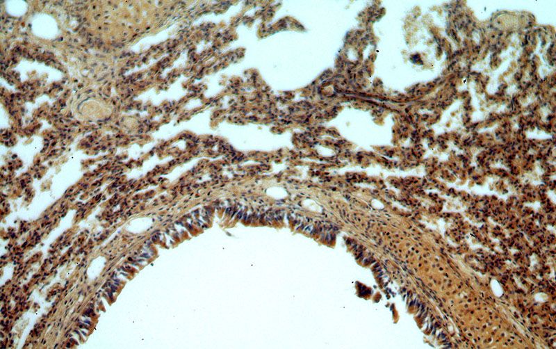
Immunohistochemical of paraffin-embedded human lung using Catalog No:117092(B3GNT5 antibody) at dilution of 1:50 (under 10x lens)
Immunohistochemical of paraffin-embedded human lung using Catalog No:117092(B3GNT5 antibody) at dilution of 1:50 (under 40x lens)
-
Background
B3GNT5 represents UDP-GlcNAc:betaGal beta-1,3-N-acetylglucosaminyltransferase 5
Related Products / Services
Please note: All products are "FOR RESEARCH USE ONLY AND ARE NOT INTENDED FOR DIAGNOSTIC OR THERAPEUTIC USE"