-
Product Name
AUTS2 antibody
- Documents
-
Description
AUTS2 Rabbit Polyclonal antibody. Positive WB detected in C6 cells, NIH/3T3 cells. Positive IHC detected in human testis tissue. Observed molecular weight by Western-blot: 70 kDa
-
Tested applications
ELISA, WB, IHC
-
Species reactivity
Human, Mouse, Rat; other species not tested.
-
Alternative names
AUTS2 antibody; FBRSL2 antibody; KIAA0442 antibody
-
Isotype
Rabbit IgG
-
Preparation
This antibody was obtained by immunization of AUTS2 recombinant protein (Accession Number: NM_001127231). Purification method: Antigen affinity purified.
-
Clonality
Polyclonal
-
Formulation
PBS with 0.1% sodium azide and 50% glycerol pH 7.3.
-
Storage instructions
Store at -20℃. DO NOT ALIQUOT
-
Applications
Recommended Dilution:
WB: 1:200-1:2000
IHC: 1:20-1:200
-
Validations
C6 cells were subjected to SDS PAGE followed by western blot with Catalog No:117075(AUTS2 Antibody) at dilution of 1:600
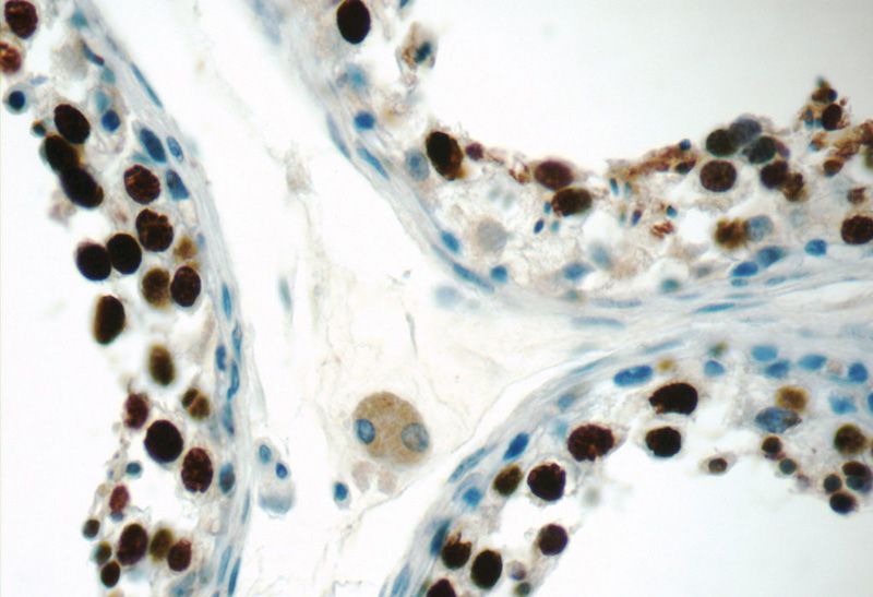
Immunohistochemistry of paraffin-embedded human testis tissue slide using Catalog No:117075(AUTS2 Antibody) at dilution of 1:50 (under 10x lens)
Immunohistochemistry of paraffin-embedded human testis tissue slide using Catalog No:117075(AUTS2 Antibody) at dilution of 1:50 (under 40x lens)
-
Background
AUTS2 also named as FBRSL2 or autism susceptibility candidate 2 is a 1259 amino acid protein, which belongs to the AUTS2 family. AUTS2 is highly expressed in brain, kidney and skeletal muscle. AUTS2 exists as four isoforms produced by alternative splicing events and is encoded by a gene located on human chromosome 7. The molecular weight of AUTS2 isoform is 65-70 kDa in the brain ( PMID:23332918). The functional role of AUTS2 is not well known, although some studies have identified a putative role in transcriptional regulation during neuronal development.
Related Products / Services
Please note: All products are "FOR RESEARCH USE ONLY AND ARE NOT INTENDED FOR DIAGNOSTIC OR THERAPEUTIC USE"