AURKC Polyclonal Antibody

Cat.#: 165619

Special Price 226.5 USD

Availability: In Stock
- +

Add to cart to get an online quotation

Product Information

  • Product Name
    AURKC Polyclonal Antibody
  • Documents
  • Description
    Polyclonal antibody to AURKC
  • Tested applications
    WB, IHC
  • Species reactivity
    Human, Mouse, Rat
  • Alternative names
    AURKC antibody; AIE2 antibody; AIK3 antibody; ARK3 antibody; AurC antibody; HEL-S-90 antibody; SPGF5 antibody; STK13 antibody; aurora-C antibody; aurora kinase C antibody
  • Isotype
    Rabbit IgG
  • Preparation
    Antigen: A synthetic peptide of human AURKC
  • Clonality
    Polyclonal
  • Formulation
    PBS with 0.02% sodium azide, 50% glycerol, pH7.3.
  • Storage instructions
    Store at -20℃. Avoid freeze / thaw cycles.
  • Applications
    WB 1:500 - 1:2000
    IHC 1:50 - 1:100
  • Validations

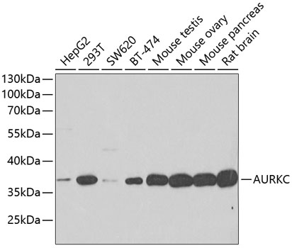
    Western blot - AURKC Polyclonal Antibody

    Western blot - AURKC Polyclonal Antibody

    Western blot analysis of extracts of various cell lines, using AURKC antibody at 1:500 dilution.Secondary antibody: HRP Goat Anti-Rabbit IgG (H+L) at 1:10000 dilution.Lysates/proteins: 25ug per lane.Blocking buffer: 3% nonfat dry milk in TBST.Detection: ECL Enhanced Kit .Exposure time: 90s.

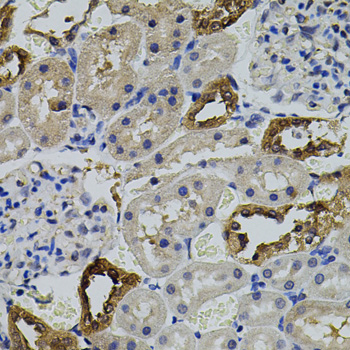
    Immunohistochemistry - AURKC Polyclonal Antibody

    Immunohistochemistry - AURKC Polyclonal Antibody

    Immunohistochemistry of paraffin-embedded rat kidney using AURKC antibody (40x lens).

    Immunohistochemistry - AURKC Polyclonal Antibody

    Immunohistochemistry - AURKC Polyclonal Antibody

    Immunohistochemistry of paraffin-embedded rat brain using AURKC antibody (40x lens).

  • Background
    Serine/threonine-protein kinase component of the chromosomal passenger complex (CPC), a complex that acts as a key regulator of mitosis. The CPC complex has essential functions at the centromere in ensuring correct chromosome alignment and segregation and is required for chromatin-induced microtubule stabilization and spindle assembly. Plays also a role in meiosis and more particularly in spermatogenesis. Has redundant cellular functions with AURKB and can rescue an AURKB knockdown. Like AURKB, AURKC phosphorylates histone H3 at 'Ser-10' and 'Ser-28'. AURKC phosphorylates the CPC complex subunits BIRC5/survivin and INCENP leading to increased AURKC activity. Phosphorylates TACC1, another protein involved in cell division, at 'Ser-228'.

Please note: All products are "FOR RESEARCH USE ONLY AND ARE NOT INTENDED FOR DIAGNOSTIC OR THERAPEUTIC USE"