ATF6 Polyclonal Antibody

Cat.#: 161142

Special Price 226.5 USD

Availability: In Stock
- +

Add to cart to get an online quotation

Product Information

  • Product Name
    ATF6 Polyclonal Antibody
  • Documents
  • Description
    Polyclonal antibody to ATF6
  • Tested applications
    WB, IHC
  • Species reactivity
    Human, Mouse, Rat
  • Alternative names
    ATF6 antibody; ACHM7 antibody; ATF6A antibody; activating transcription factor 6 antibody
  • Isotype
    Rabbit IgG
  • Preparation
    Antigen: A synthetic peptide corresponding to a sequence within amino acids 570 to the C-terminus of human ATF6 (NP_031374.2).
  • Clonality
    Polyclonal
  • Formulation
    PBS with 0.02% sodium azide, 50% glycerol, pH7.3.
  • Storage instructions
    Store at -20℃. Avoid freeze / thaw cycles.
  • Applications
    WB 1:500 - 1:2000
    IHC 1:50 - 1:200
  • Validations

    Western blot - ATF6 Polyclonal Antibody

    Western blot - ATF6 Polyclonal Antibody

    Western blot analysis of extracts of various cell lines, using ATF6 antibody at 1:1000 dilution.Secondary antibody: HRP Goat Anti-Rabbit IgG (H+L) at 1:10000 dilution.Lysates/proteins: 25ug per lane.Blocking buffer: 3% nonfat dry milk in TBST.Detection: ECL Basic Kit .Exposure time: 60s.

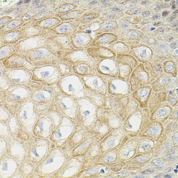
    Immunohistochemistry - ATF6 Polyclonal Antibody

    Immunohistochemistry - ATF6 Polyclonal Antibody

    Immunohistochemistry of paraffin-embedded human esophagus using ATF6 antibody (40x lens).

    Immunohistochemistry - ATF6 Polyclonal Antibody

    Immunohistochemistry - ATF6 Polyclonal Antibody

    Immunohistochemistry of paraffin-embedded rat brain using ATF6 antibody (40x lens).

  • Background
    Transmembrane glycoprotein of the endoplasmic reticulum that functions as a transcription activator and initiates the unfolded protein response (UPR) during endoplasmic reticulum stress. Cleaved upon ER stress, the N-terminal processed cyclic AMP-dependent transcription factor ATF-6 alpha translocates to the nucleus where it activates transcription of genes involved in the UPR. Binds DNA on the 5'-CCAC[GA]-3'half of the ER stress response element (ERSE) (5'-CCAAT-N(9)-CCAC[GA]-3') and of ERSE II (5'-ATTGG-N-CCACG-3'). Binding to ERSE requires binding of NF-Y to ERSE. Could also be involved in activation of transcription by the serum response factor. May play a role in foveal development and cone function in the retina.

Please note: All products are "FOR RESEARCH USE ONLY AND ARE NOT INTENDED FOR DIAGNOSTIC OR THERAPEUTIC USE"