ATAD3B Polyclonal Antibody

Cat.#: 165768

Special Price 226.5 USD

Availability: In Stock
- +

Add to cart to get an online quotation

Product Information

  • Product Name
    ATAD3B Polyclonal Antibody
  • Documents
  • Description
    Polyclonal antibody to ATAD3B
  • Tested applications
    WB, IHC
  • Species reactivity
    Human, Mouse, Rat
  • Alternative names
    ATAD3B antibody; AAA-TOB3 antibody; TOB3 antibody; ATPase family, AAA domain containing 3B antibody
  • Isotype
    Rabbit IgG
  • Preparation
    Antigen: Recombinant fusion protein containing a sequence corresponding to amino acids 1-240 of human ATAD3B (NP_114127.3).
  • Clonality
    Polyclonal
  • Formulation
    PBS with 0.02% sodium azide, 50% glycerol, pH7.3.
  • Storage instructions
    Store at -20℃. Avoid freeze / thaw cycles.
  • Applications
    WB 1:500 - 1:2000
    IHC 1:50 - 1:100
  • Validations

    Western blot - ATAD3B Polyclonal Antibody

    Western blot - ATAD3B Polyclonal Antibody

    Western blot analysis of extracts of various cell lines, using ATAD3B antibody at 1:1000 dilution.Secondary antibody: HRP Goat Anti-Rabbit IgG (H+L) at 1:10000 dilution.Lysates/proteins: 25ug per lane.Blocking buffer: 3% nonfat dry milk in TBST.Detection: ECL Basic Kit .Exposure time: 5s.

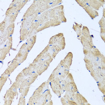
    Immunohistochemistry - ATAD3B Polyclonal Antibody

    Immunohistochemistry - ATAD3B Polyclonal Antibody

    Immunohistochemistry of paraffin-embedded mouse heart using ATAD3B antibody at dilution of 1:100 (40x lens).

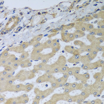
    Immunohistochemistry - ATAD3B Polyclonal Antibody

    Immunohistochemistry - ATAD3B Polyclonal Antibody

    Immunohistochemistry of paraffin-embedded human liver injury using ATAD3B antibody at dilution of 1:100 (40x lens).

  • Background
    May play a role in a mitochondrial network organization typical for stem cells, characterized by reduced mitochondrial metabolism, low mtDNA copies and fragmentated mitochondrial network. may act by suppressing ATAD3A function, interfering with ATAD3A interaction with matrix nucleoid complexes.

Please note: All products are "FOR RESEARCH USE ONLY AND ARE NOT INTENDED FOR DIAGNOSTIC OR THERAPEUTIC USE"