ASPSCR1 Polyclonal Antibody

Cat.#: 165397

Special Price 226.5 USD

Availability: In Stock
- +

Add to cart to get an online quotation

Product Information

  • Product Name
    ASPSCR1 Polyclonal Antibody
  • Documents
  • Description
    Polyclonal antibody to ASPSCR1
  • Tested applications
    WB, IHC, IF, IP
  • Species reactivity
    Human, Mouse, Rat
  • Alternative names
    ASPSCR1 antibody; ASPCR1 antibody; ASPL antibody; ASPS antibody; RCC17 antibody; TUG antibody; UBXD9 antibody; UBXN9 antibody; tether containing UBX domain for GLUT4 antibody
  • Isotype
    Rabbit IgG
  • Preparation
    Antigen: Recombinant fusion protein containing a sequence corresponding to amino acids 284-553 of human ASPSCR1 (NP_076988.1).
  • Clonality
    Polyclonal
  • Formulation
    PBS with 0.02% sodium azide, 50% glycerol, pH7.3.
  • Storage instructions
    Store at -20℃. Avoid freeze / thaw cycles.
  • Applications
    WB 1:500 - 1:2000
    IHC 1:50 - 1:200
    IF 1:50 - 1:200
    IP 1:50 - 1:100
  • Validations

    Western blot - ASPSCR1 Polyclonal Antibody

    Western blot - ASPSCR1 Polyclonal Antibody

    Western blot analysis of extracts of various cell lines, using ASPSCR1 antibody at 1:1000 dilution.Secondary antibody: HRP Goat Anti-Rabbit IgG (H+L) at 1:10000 dilution.Lysates/proteins: 25ug per lane.Blocking buffer: 3% nonfat dry milk in TBST.Detection: ECL Basic Kit .Exposure time: 30s.

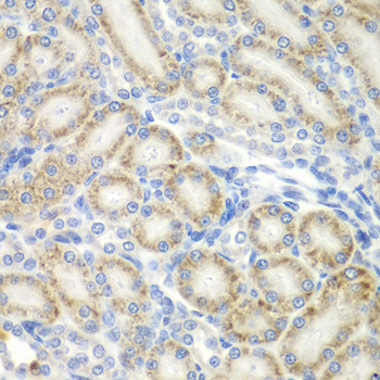
    Immunohistochemistry - ASPSCR1 Polyclonal Antibody

    Immunohistochemistry - ASPSCR1 Polyclonal Antibody

    Immunohistochemistry of paraffin-embedded rat kidney using ASPSCR1 antibody at dilution of 1:100 (40x lens).

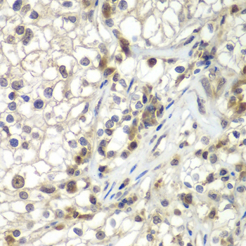
    Immunohistochemistry - ASPSCR1 Polyclonal Antibody

    Immunohistochemistry - ASPSCR1 Polyclonal Antibody

    Immunohistochemistry of paraffin-embedded human kidney cancer using ASPSCR1 antibody at dilution of 1:100 (40x lens).

    Immunohistochemistry - ASPSCR1 Polyclonal Antibody

    Immunohistochemistry - ASPSCR1 Polyclonal Antibody

    Immunohistochemistry of paraffin-embedded mouse lung using ASPSCR1 antibody at dilution of 1:100 (40x lens).

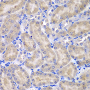
    Immunohistochemistry - ASPSCR1 Polyclonal Antibody

    Immunohistochemistry - ASPSCR1 Polyclonal Antibody

    Immunohistochemistry of paraffin-embedded mouse kidney using ASPSCR1 antibody at dilution of 1:100 (40x lens).

    Immunofluorescence - ASPSCR1 Polyclonal Antibody

    Immunofluorescence - ASPSCR1 Polyclonal Antibody

    Immunofluorescence analysis of HeLa cells using ASPSCR1 antibody at dilution of 1:100 (40x lens). Blue: DAPI for nuclear staining.

    Immunofluorescence - ASPSCR1 Polyclonal Antibody

    Immunofluorescence - ASPSCR1 Polyclonal Antibody

    Immunofluorescence analysis of NIH/3T3 cells using ASPSCR1 antibody at dilution of 1:100 (40x lens). Blue: DAPI for nuclear staining.

    Immunofluorescence - ASPSCR1 Polyclonal Antibody

    Immunofluorescence - ASPSCR1 Polyclonal Antibody

    Immunofluorescence analysis of PC-12 cells using ASPSCR1 antibody at dilution of 1:100 (40x lens). Blue: DAPI for nuclear staining.

    Immunoprecipitation - ASPSCR1 Polyclonal Antibody

    Immunoprecipitation - ASPSCR1 Polyclonal Antibody

    Immunoprecipitation analysis of 200ug extracts of A-549 cells, using 3 ug ASPSCR1 antibody . Western blot was performed from the immunoprecipitate using ASPSCR1 antibody at a dilition of 1:1000.

  • Background
    Tethering protein that sequesters GLUT4-containing vesicles in the cytoplasm in the absence of insulin. Modulates the amount of GLUT4 that is available at the cell surface (By similarity). Enhances VCP methylation catalyzed by VCPKMT.

Please note: All products are "FOR RESEARCH USE ONLY AND ARE NOT INTENDED FOR DIAGNOSTIC OR THERAPEUTIC USE"