ASIC4 Polyclonal Antibody

Cat.#: 163438

Special Price 226.5 USD

Availability: In Stock
- +

Add to cart to get an online quotation

Product Information

  • Product Name
    ASIC4 Polyclonal Antibody
  • Documents
  • Description
    Polyclonal antibody to ASIC4
  • Tested applications
    IHC
  • Species reactivity
    Rat
  • Alternative names
    ASIC4 antibody; ACCN4 antibody; BNAC4 antibody; acid-sensing ion channel 4 antibody
  • Isotype
    Rabbit IgG
  • Preparation
    Antigen: Recombinant fusion protein containing a sequence corresponding to amino acids 350-460 of human ASIC4 (NP_878267.2).
  • Clonality
    Polyclonal
  • Formulation
    PBS with 0.02% sodium azide, 50% glycerol, pH7.3.
  • Storage instructions
    Store at -20℃. Avoid freeze / thaw cycles.
  • Applications
    IHC 1:50 - 1:200
  • Validations

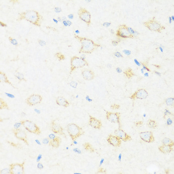
    Immunohistochemistry - ASIC4 Polyclonal Antibody

    Immunohistochemistry - ASIC4 Polyclonal Antibody

    Immunohistochemistry of paraffin-embedded rat brain using ASIC4 antibody at dilution of 1:100 (40x lens).

  • Background
    Probable cation channel with high affinity for sodium. In vitro, has no proton-gated channel activity.

Please note: All products are "FOR RESEARCH USE ONLY AND ARE NOT INTENDED FOR DIAGNOSTIC OR THERAPEUTIC USE"