ARNT2 antibody

Cat.#: 108159

Size:

Special Price 239.0 USD

Availability: In Stock
- +

Add to cart to get an online quotation

Product Information

  • Product Name
    ARNT2 antibody
  • Documents
  • Description
    ARNT2 Rabbit Polyclonal antibody. Positive WB detected in HEK-293 cells, Jurkat cells, Raji cells. Positive IHC detected in human gliomas tissue. Observed molecular weight by Western-blot: 80-85kd
  • Tested applications
    ELISA, WB, IHC
  • Species reactivity
    Human,Mouse,Rat; other species not tested.
  • Alternative names
    ARNT protein 2 antibody; ARNT2 antibody; bHLHe1 antibody; KIAA0307 antibody
  • Isotype
    Rabbit IgG
  • Preparation
    This antibody was obtained by immunization of ARNT2 recombinant protein (Accession Number: BC036099). Purification method: Antigen affinity purified.
  • Clonality
    Polyclonal
  • Formulation
    PBS with 0.02% sodium azide and 50% glycerol pH 7.3.
  • Storage instructions
    Store at -20℃. DO NOT ALIQUOT
  • Applications

    Recommended Dilution:

    WB: 1:200-1:2000

    IHC: 1:20-1:200

  • Validations

    HEK-293 cells were subjected to SDS PAGE followed by western blot with Catalog No:108159(ARNT2 antibody) at dilution of 1:300

    HEK-293 cells were subjected to SDS PAGE followed by western blot with Catalog No:108159(ARNT2 antibody) at dilution of 1:300

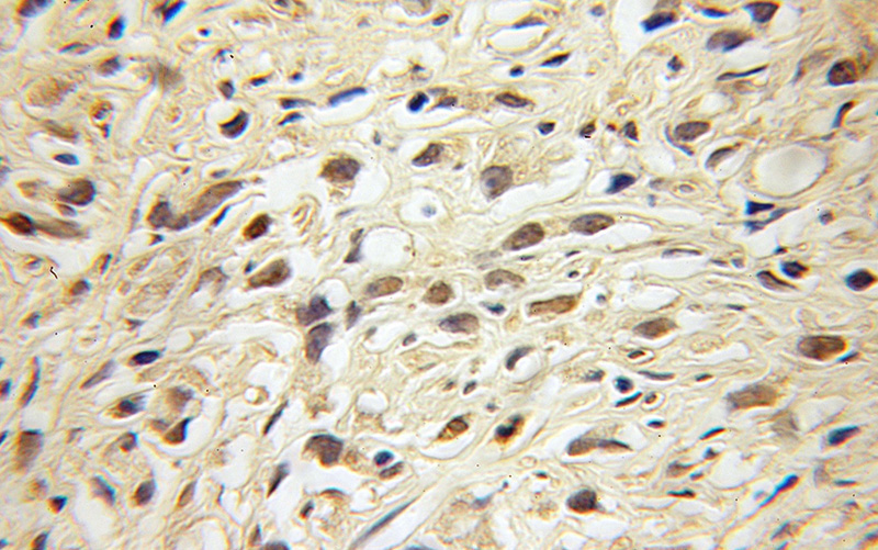
    Immunohistochemical of paraffin-embedded human gliomas using Catalog No:108159(ARNT2 antibody) at dilution of 1:100 (under 10x lens)

    Immunohistochemical of paraffin-embedded human gliomas using Catalog No:108159(ARNT2 antibody) at dilution of 1:100 (under 10x lens)

  • Background
    Aryl-hydrocarbon receptor nuclear translocator 2(ARNT2), is a member of the basic-helix-loop-helix-Per-Arnt-Sim (bHLH-PAS) superfamily of transcription factors. It specifically recognizes the xenobiotic response element(XRE). ARNT2 plays an important role in normal glucose handling in pancreatic beta cell function in humans and mice. ARNT2 proteins are dimeric partners for other PAS proteins such as HIF and SIM. ARNT2 and the other ARNT family members, e.g., ARNT, hypoxin inducible factor 1α (HIF1α), HIF2α, and aryl hydrocarbon receptor (AhR), are thought to function as heterodimers, and regulate the expression, and thereby the function, of many genes. Under hypoxic conditions, it complexes with hypoxia-inducible factor 1alpha in the nucleus and this complex binds to hypoxia-responsive elements in enhancers and promoters of oxygen-responsive genes. Modulation of ARNT2 in pancreatic beta cells affects glucose stimulated insulin secretion (GSIS). This antibody is a rabbit polyclonal antibody raised against residues near the C terminus of human ARNT2.

Please note: All products are "FOR RESEARCH USE ONLY AND ARE NOT INTENDED FOR DIAGNOSTIC OR THERAPEUTIC USE"