ARL6IP4 Polyclonal Antibody

Cat.#: 163435

Special Price 226.5 USD

Availability: In Stock
- +

Add to cart to get an online quotation

Product Information

  • Product Name
    ARL6IP4 Polyclonal Antibody
  • Documents
  • Description
    Polyclonal antibody to ARL6IP4
  • Tested applications
    WB, IHC
  • Species reactivity
    Human
  • Alternative names
    ARL6IP4 antibody; SFRS20 antibody; SR-25 antibody; SRp25 antibody; SRrp37 antibody; ADP ribosylation factor like GTPase 6 interacting protein 4 antibody
  • Isotype
    Rabbit IgG
  • Preparation
    Antigen: Recombinant fusion protein containing a sequence corresponding to amino acids 313-402 of human ARL6IP4 (NP_057722.3).
  • Clonality
    Polyclonal
  • Formulation
    PBS with 0.02% sodium azide, 50% glycerol, pH7.3.
  • Storage instructions
    Store at -20℃. Avoid freeze / thaw cycles.
  • Applications
    WB 1:500 - 1:2000
    IHC 1:50 - 1:200
  • Validations

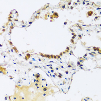
    Immunohistochemistry - ARL6IP4 Polyclonal Antibody

    Immunohistochemistry - ARL6IP4 Polyclonal Antibody

    Immunohistochemistry of paraffin-embedded human lung using ARL6IP4 antibody at dilution of 1:100 (40x lens).

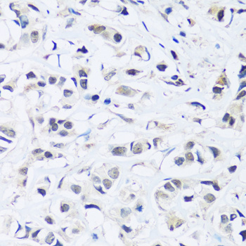
    Immunohistochemistry - ARL6IP4 Polyclonal Antibody

    Immunohistochemistry - ARL6IP4 Polyclonal Antibody

    Immunohistochemistry of paraffin-embedded human breast cancer using ARL6IP4 antibody at dilution of 1:100 (40x lens).

  • Background
    Involved in modulating alternative pre-mRNA splicing with either 5' distal site activation or preferential use of 3' proximal site. In case of infection by Herpes simplex virus (HSVI), may act as a splicing inhibitor of HSVI pre-mRNA.

Please note: All products are "FOR RESEARCH USE ONLY AND ARE NOT INTENDED FOR DIAGNOSTIC OR THERAPEUTIC USE"