AQP5 Polyclonal Antibody

Cat.#: 166239

Special Price 226.5 USD

Availability: In Stock
- +

Add to cart to get an online quotation

Product Information

  • Product Name
    AQP5 Polyclonal Antibody
  • Documents
  • Description
    Polyclonal antibody to AQP5
  • Tested applications
    WB, IHC, IF
  • Species reactivity
    Human, Mouse
  • Alternative names
    AQP5 antibody; AQP-5 antibody; PPKB antibody; aquaporin-5 antibody
  • Isotype
    Rabbit IgG
  • Preparation
    Antigen: A synthetic peptide corresponding to a sequence within amino acids 150-250 of human AQP5 (NP_001642.1).
  • Clonality
    Polyclonal
  • Formulation
    PBS with 0.02% sodium azide, 50% glycerol, pH7.3.
  • Storage instructions
    Store at -20℃. Avoid freeze / thaw cycles.
  • Applications
    WB 1:500 - 1:2000
    IHC 1:50 - 1:200
    IF 1:50 - 1:200
  • Validations

    Western blot - AQP5 Polyclonal Antibody

    Western blot - AQP5 Polyclonal Antibody

    Western blot analysis of extracts of mouse liver, using AQP5 Antibody at 1:1000 dilution.Secondary antibody: HRP Goat Anti-Rabbit IgG (H+L) at 1:10000 dilution.Lysates/proteins: 25ug per lane.Blocking buffer: 3% nonfat dry milk in TBST.Detection: ECL Enhanced Kit .Exposure time: 90s.

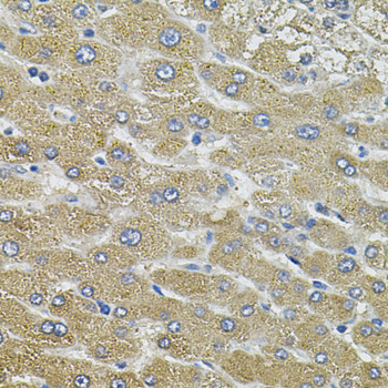
    Immunohistochemistry - AQP5 Polyclonal Antibody

    Immunohistochemistry - AQP5 Polyclonal Antibody

    Immunohistochemistry of paraffin-embedded human liver injury using AQP5 antibody (40x lens).

    Immunofluorescence - AQP5 Polyclonal Antibody

    Immunofluorescence - AQP5 Polyclonal Antibody

    Immunofluorescence analysis of NIH/3T3 cells using AQP5 antibody at dilution of 1:100. Blue: DAPI for nuclear staining.

    Immunofluorescence - AQP5 Polyclonal Antibody

    Immunofluorescence - AQP5 Polyclonal Antibody

    Immunofluorescence analysis of U2OS cells using AQP5 antibody at dilution of 1:100. Blue: DAPI for nuclear staining.

  • Background
    Forms a water-specific channel. Implicated in the generation of saliva, tears, and pulmonary secretions. Required for TRPV4 activation by hypotonicity. Together with TRPV4, controls regulatory volume decrease in salivary epithelial cells.

Please note: All products are "FOR RESEARCH USE ONLY AND ARE NOT INTENDED FOR DIAGNOSTIC OR THERAPEUTIC USE"