APBB1 Polyclonal Antibody

Cat.#: 163629

Special Price 226.5 USD

Availability: In Stock
- +

Add to cart to get an online quotation

Product Information

  • Product Name
    APBB1 Polyclonal Antibody
  • Documents
  • Description
    Polyclonal antibody to APBB1
  • Tested applications
    WB, IHC, IF
  • Species reactivity
    Human
  • Alternative names
    APBB1 antibody; FE65 antibody; MGC:9072 antibody; RIR antibody; amyloid beta precursor protein binding family B member 1 antibody
  • Isotype
    Rabbit IgG
  • Preparation
    Antigen: Recombinant fusion protein containing a sequence corresponding to amino acids 359-708 of human APBB1 (NP_663722.1).
  • Clonality
    Polyclonal
  • Formulation
    PBS with 0.02% sodium azide, 50% glycerol, pH7.3.
  • Storage instructions
    Store at -20℃. Avoid freeze / thaw cycles.
  • Applications
    WB 1:50 - 1:200
    IHC 1:50 - 1:200
    IF 1:50 - 1:200
  • Validations

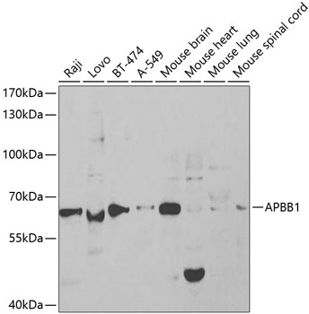
    Western blot - APBB1 Polyclonal Antibody

    Western blot - APBB1 Polyclonal Antibody

    Western blot analysis of extracts of various cell lines, using APBB1 antibody at 1:1000 dilution.Secondary antibody: HRP Goat Anti-Rabbit IgG (H+L) at 1:10000 dilution.Lysates/proteins: 25ug per lane.Blocking buffer: 3% nonfat dry milk in TBST.

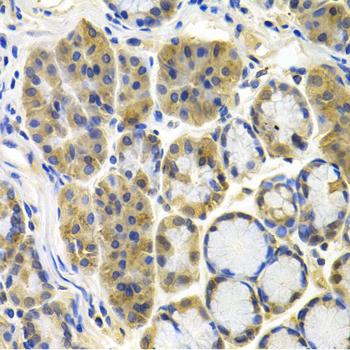
    Immunohistochemistry - APBB1 Polyclonal Antibody

    Immunohistochemistry - APBB1 Polyclonal Antibody

    Immunohistochemistry of paraffin-embedded human colon carcinoma using APBB1 antibody at dilution of 1:100 (40x lens).

    Immunofluorescence - APBB1 Polyclonal Antibody

    Immunofluorescence - APBB1 Polyclonal Antibody

    Immunofluorescence analysis of U2OS cells using APBB1 antibody . Blue: DAPI for nuclear staining.

  • Background
    Transcription coregulator that can have both coactivator and corepressor functions. Adapter protein that forms a transcriptionally active complex with the gamma-secretase-derived amyloid precursor protein (APP) intracellular domain. Plays a central role in the response to DNA damage by translocating to the nucleus and inducing apoptosis. May act by specifically recognizing and binding histone H2AX phosphorylated on 'Tyr-142' (H2AXY142ph) at double-strand breaks (DSBs), recruiting other pro-apoptosis factors such as MAPK8/JNK1. Required for histone H4 acetylation at double-strand breaks (DSBs). Its ability to specifically bind modified histones and chromatin modifying enzymes such as KAT5/TIP60, probably explains its transcription activation activity. Function in association with TSHZ3, SET and HDAC factors as a transcriptional repressor, that inhibits the expression of CASP4. Associates with chromatin in a region surrounding the CASP4 transcriptional start site(s).

Please note: All products are "FOR RESEARCH USE ONLY AND ARE NOT INTENDED FOR DIAGNOSTIC OR THERAPEUTIC USE"