AP2A2 antibody

Cat.#: 108119

Size:

Special Price 239.0 USD

Availability: In Stock
- +

Add to cart to get an online quotation

Product Information

  • Product Name
    AP2A2 antibody
  • Documents
  • Description
    AP2A2 Rabbit Polyclonal antibody. Positive IHC detected in human testis tissue. Positive WB detected in mouse brain tissue, rat brain tissue. Observed molecular weight by Western-blot: 104 kDa
  • Tested applications
    ELISA, WB, IHC
  • Species reactivity
    Human, Mouse, Rat; other species not tested.
  • Alternative names
    ADTAB antibody; Alpha adaptin C antibody; Alpha2 adaptin antibody; AP 2 complex subunit alpha 2 antibody; AP2A2 antibody; CLAPA2 antibody; HIP 9 antibody; HIP9 antibody; Huntingtin yeast partner J antibody; HYPJ antibody; KIAA0899 antibody
  • Isotype
    Rabbit IgG
  • Preparation
    This antibody was obtained by immunization of AP2A2 recombinant protein (Accession Number: NM_012305). Purification method: Antigen affinity purified.
  • Clonality
    Polyclonal
  • Formulation
    PBS with 0.1% sodium azide and 50% glycerol pH 7.3.
  • Storage instructions
    Store at -20℃. DO NOT ALIQUOT
  • Applications

    Recommended Dilution:

    WB: 1:200-1:1000

    IHC: 1:20-1:200

  • Validations

    mouse brain tissue were subjected to SDS PAGE followed by western blot with Catalog No:108119(AP2A2 Antibody) at dilution of 1:300

    mouse brain tissue were subjected to SDS PAGE followed by western blot with Catalog No:108119(AP2A2 Antibody) at dilution of 1:300

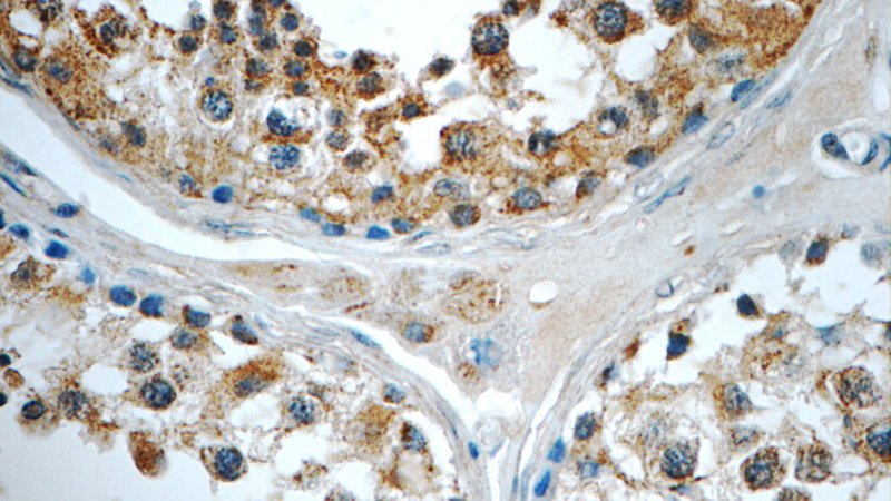
    Immunohistochemistry of paraffin-embedded human testis tissue slide using Catalog No:108119(AP2A2 Antibody) at dilution of 1:50 (under 40x lens)

    Immunohistochemistry of paraffin-embedded human testis tissue slide using Catalog No:108119(AP2A2 Antibody) at dilution of 1:50 (under 40x lens)

  • Background
    AP2A2, also named as ADTAB, CLAPA2, HIP9, HYPJ, or KIAA0899, is a 939 amino acid protein, which belongs to the adaptor complexes large subunit family. AP2A2 localizes in the membrane and is a component of the adaptor protein complex 2. AP2 adaptor complex linking clathrin to receptors in coated vesicles, clathrin-associated protein complexes are believed to interact with cytoplasmic domains of transmembrane proteins leading to their selection and concentration. AP2A2 is invovled into cellular trafficking transport.

Please note: All products are "FOR RESEARCH USE ONLY AND ARE NOT INTENDED FOR DIAGNOSTIC OR THERAPEUTIC USE"